※未成年の方の保険外治療(矯正、セラミック、インプラント、ホワイトニング、その他)のお申し込みにつきましては、治療前に保護者の方のご同伴がない場合は、治療をお断りすることがございますので、ご了承ください。

セラミッククラウン治療

クラウンとは

硬質レジン前装冠をメタルボンドセラミッククラウンに交換した治療例

硬質レジン前装冠をメタルボンドセラミッククラウンに交換した治療例

虫歯などで大きく歯を削った場合に、歯全体にかぶせる人工の歯をクラウン(冠)といいます。
通常、「さし歯」「被せ物」とも呼ばれています。虫歯が小さい場合には、インレー(部分的な銀歯)で、治療を行います。

クラウンには保険が適用できる金属素材やレジン(プラスチック様の素材)の物もありますが、審美性や耐久性の点から、長期間の使用には適しておりません。また、保険で白い素材の冠が適応できる歯は限定されておりますので、外から見える部位でも銀色の素材を使用しなければならないケースがございます。

セラミッククラウンは保険外診療となりますが、部位に限定されることなく白い素材をお選びいただくことができます。また天然の歯と極めて近い美しさに仕上げることができるということが何よりの利点です。そのため以前に治療した金属のクラウンをセラミッククラウンに交換される患者様や、矯正の代りにセラミッククラウンで短期間に歯並びを整える患者様も多くいらっしゃいます。

使用できるセラミックの種類は、ハイブリッドセラミックメタルボンドセラミックオールセラミックジルコニアオールセラミックです。

セラミッククラウンを使用した治療例

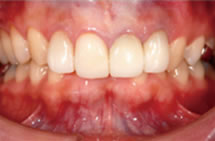
変色歯・ブラックマージン・歯の歪みの改善

治療前

治療前

治療後

治療後

こちらの患者様は上顎前歯4本をセラミッククラウンで治療されました。左上1番はハイブリッドセラミッククラウンで治療されていましたが、加齢とともに歯茎が下がって境目が黒く見える(ブラックマージン)ようになってきたのを気にされて、オールセラミッククラウンでの再治療を希望されました。
右上2番は歯が曲がって生えていましたが、オールセラミッククラウンで歯並びも美しくすることができました。

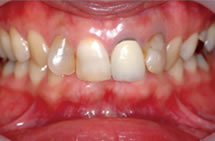
歯の隙間の改善

治療前

治療前

治療後

治療後

こちらの患者様は、前歯の隙間を気にされてセラミック治療を希望されました。数ミリ程度の隙間であれば、セラミッククラウンを少し大きめにつくることで改善することができます。

セラミッククラウンの種類

ハイブリッドセラミッククラウン

レジン(プラスチック様の素材)とセラミックを混ぜ合わせた素材です。色も白くかなり綺麗なので、他の人から見えてしまうような比較的手前側に位置する奥歯の部分に使用することもおすすめできます。また、レジン(プラスチック様の素材)のみでできておらず、レジンにセラミックを配合した材料を使用しているので、汚れを吸収し、時間の経過とともに黒色や黄色に変色してしまうということもほとんどありません。
メタルボンドセラミッククラウン・メタルボンドセラミッククラウン【ハイクオリティー】・オールセラミッククラウン・オールセラミッククラウン【ハイクオリティー】に比べると強度が劣り、透明感に欠け綺麗さも数段落ちます。

メタルボンドセラミッククラウン

金属の芯の表面に陶材(セラミック)を焼き付けたクラウンです。ハイブリッドセラミッククラウンより強度がありますので、かみ合わせの強い部位にも使用することができます。
表側は完全なセラミック素材ですので、汚れや歯垢(プラーク)がつきにくく変色の心配もありません。
ただし、オールセラミッククラウン・オールセラミッククラウン【ハイクオリティー】に比べると透明感に欠け綺麗さも数段落ちます。

オールセラミッククラウン

全体が完全なセラミック素材でできていますので、メタルボンドセラミッククラウンよりも透明度が高く天然の歯質に近いという性質を持っています。当クリニックでは高品質のオールセラミック(エンプレス)を使用しておりますので、大変美しい仕上がりとなります。
また、汚れや歯垢(プラーク)がつきにくく、長期間使用しても黒ずんだり黄色く変色したりしません。

ジルコニアオールセラミッククラウン

内側部分に強度の高いジルコニアを使用しておりますので、オールセラミッククラウンよりも割れにくいという利点があり、かみ合わせの強い部位にも安心してお選びいただけます。
表面に焼きつけるセラミックには、高品質のセラミック(エンプレス)を使用しておりますので、仕上がりが大変美しいとご好評をいただいています。
また当クリニックでは、CAD/CAMを使用してより高い精度に仕上げるCAD/CAMジルコニアオールセラミッククラウンもご用意しております。

ハイクオリティータイプ(多層構成)について

当クリニックでは、各種類のセラミック歯にハイクオリティータイプをご用意しております。
ハイクオリティータイプは、通常タイプのセラミック歯に比べ、多層構成されているため色に深みが増し、とても自然で綺麗な仕上がりとなります。太陽の光のもとでの綺麗さが格段と異なってきます。
(室内などではそんなに違いはありません)
多層構成とはセラミック歯を作製するにあたり、細かく異なった色のセラミック素材を何層も何層も盛ることです。
歯科技工士がセラミック歯を作製するのに費やす時間が増えるので、価格も通常タイプのセラミック歯に比べ高くなります。

セラミック歯への直接の色塗り

ハイクオリティータイプのセラミック歯の場合は、患者様に手鏡やモニターを見て頂きながら、歯科医師の指示を受けた歯科技工士がその場で直接患者様のご希望される色に塗っていきます。多くの患者様にとても綺麗なセラミック歯ができあがると、好評を頂いております。
※標準的な歯の色をされている場合は、歯科技工士による直接の色塗りを、省略する場合もございますのでご了承ください。
(直接の色塗りをせずとも自然で綺麗な色をしたセラミック歯を作製できるからです)

クラウンの素材別比較

(参考)保険適用素材
(参考)保険適用素材
金属冠 硬質レジン前装冠
透明感 ×
色の深み ×
変色 しない 変色する
セラミック歯への直接の色塗り × ×
金属の裏打ち すべて金属 あり
総合的な綺麗さ ×
総合的な強度 ★★★★★ ★★
ハイブリッドセラミック
ハイブリッドセラミック
通常タイプ ハイクオリティー
透明感 ★★
色の深み ★★
変色 ほとんどしない ほとんどしない
セラミック歯への直接の色塗り なし なし
金属の裏打ち あり あり
総合的な綺麗さ ★★
総合的な強度 ★★★ ★★★
メタルボンドセラミック
メタルボンドセラミック
通常タイプ ハイクオリティー
透明感 ★★★ ★★★★
色の深み ★★★ ★★★★
変色 しない しない
セラミック歯への直接の色塗り なし あり
金属の裏打ち あり あり
総合的な綺麗さ ★★★ ★★★★
総合的な強度 ★★★★★ ★★★★★
オールセラミック
オールセラミック
通常タイプ ハイクオリティー
透明感 ★★★★★ ★★★★★
色の深み ★★★★ ★★★★★
変色 しない しない
セラミック歯への直接の色塗り なし あり
金属の裏打ち なし なし
総合的な綺麗さ ★★★★ ★★★★★
総合的な強度 ★★★★ ★★★★
ジルコニアオールセラミック冠
ジルコニアオールセラミック冠
通常タイプ ハイクオリティー
透明感 ★★★★★ ★★★★★
色の深み ★★★★ ★★★★★
変色 しない しない
セラミック歯への直接の色塗り なし あり
金属の裏打ち なし なし
総合的な綺麗さ ★★★★ ★★★★★
総合的な強度 ★★★★★ ★★★★★
CAD/CAMジルコニアオールセラミック冠
CAD/CAMジルコニアオールセラミック冠
通常タイプ ハイクオリティー
透明感 ★★★★★ ★★★★★
色の深み ★★★★ ★★★★★
変色 しない しない
セラミック歯への直接の色塗り なし あり
金属の裏打ち なし なし
総合的な綺麗さ ★★★★ ★★★★★
総合的な強度 ★★★★★ ★★★★★

※金属アレルギーのある患者様は「金属の裏打ち:なし」の素材をご使用ください。

クラウンの種類

患者様の年代別 人気ランキング

人気のセラミック材料は患者様の年齢によっても異なります。

人気ランキング(10代・20代)

1位:メタルボンドセラミック冠
2位:ハイブリッドセラミック冠
3位:オールセラミック冠

10代・20代の前半の患者様および子育ての最中の患者様は、費用面の問題からハイブリッドセラミックもしくはメタルボンドセラミックを選ぶ傾向が高いです。

人気ランキング(30代・40代)

1位:オールセラミック冠(ハイクオリティー)
2位:メタルボンドセラミック冠(ハイクオリティー)
3位:ジルコニアオールセラミック冠

20代後半の患者様および30代・40代の患者様は、費用は少し高くなっても透明感のある綺麗なオールセラミックを選ぶ傾向が高いです。

人気ランキング(50代・60代)

1位:オールセラミック冠(ハイクオリティー)
2位:ジルコニアオールセラミック冠
3位:メタルボンドセラミック冠(ハイクオリティー)

50代・60代の患者様は、歯周病の進行などにより歯が欠損しているためブリッジ治療となることがあることから強度の高いジルコニア素材のオールセラミックを選ぶ傾向が高いです。

セラミッククラウン治療で使用する土台と仮歯

神経の治療をした歯を補強する土台

虫歯などで神経の治療を行った歯の場合は、歯根の中に生じた空隙を補強してあげる必要があります。補強せずにクラウンを被せると、歯根が破折してしまう恐れがあるからです。
当クリニックでは、セラミッククラウンには、土台にもセラミックの白色ものを使用します。

セラミックの白色の土台

セラミックの白色の土台

通常の保険治療の金属の土台

通常の保険治療の金属の土台

テンポラリークラウン(仮歯)

セラミック冠を装着する前段階として、仮歯を装着いたします。当クリニックの仮歯はセラミック冠の形態を決定する上で、とても重要な役目を果たします。セラミック歯の形態にこだわりたい患者様のために、通常の仮歯の他に審美仮歯・精密仮歯もご用意しております。

簡易仮歯

文字通り、普通の仮歯です。とても安価な材料を使用しているため、色も黄色っぽく、細かい形態修正には適しておりません。セラミック歯の形態にこだわりたい患者様はこの仮歯ではなく審美仮歯をお選びいただくことをおすすめしております。

審美仮歯

保険治療で使用する材料よりも高価な材料を使用しておりますので、色も綺麗で細かな形態修正もできます。セラミック歯の形態にこだわりたい患者様には、この審美仮歯をおすすめしております。
ラミネートべニア治療の患者様には、必ず審美仮歯をお選びいただいております。

精密仮歯

多数歯欠損などにより、かみ合わせの位置が定まらない患者様にお選びいただいている仮歯です。金属の裏打ちがございますので長期間の使用が可能です。審美仮歯と同じく、色も綺麗で細かな形態修正もできます。