※未成年の方の保険外治療(矯正、セラミック、インプラント、ホワイトニング、その他)のお申し込みにつきましては、治療前に保護者の方のご同伴がない場合は、治療をお断りすることがございますので、ご了承ください。

※未成年の方の保険外治療(矯正、セラミック、インプラント、ホワイトニング、その他)のお申し込みにつきましては、治療前に保護者の方のご同伴がない場合は、治療をお断りすることがございますので、ご了承ください。

虫歯治療

虫歯発生のメカニズム

虫歯の原因は、お口の中の細菌です。
細菌は、ブラッシング(歯磨き)などで除去し切れなかった食べ物のカスを餌として繁殖し、歯垢(プラーク)を形成して歯の表面に付着します。歯垢(プラーク)は食べ物に含まれる糖を取り込んで酸を放出するようになり、この酸によって歯が溶かされた(脱灰と言います)部分を虫歯と呼びます。

虫歯の進行

CO ホワイトスポット

歯の表面がごくわずか溶けて白くなっている状態で、ホワイトスポットとも言います。フッ素塗布やフッ素入り歯磨きペーストを使ってのブラッシングで治せる(再石灰化)のは、COの段階にある虫歯です。

C1 初期虫歯

歯のエナメル質部分のみで、象牙質にまでは至っていないごく軽度の虫歯です。C1の段階では痛みを感じることはほとんどなく、歯科医院でもフッ素塗布やプラークコントロールなどの予防治療で進行を防ぎ、歯を削る治療を行わないのが一般的です。

C2

虫歯が象牙質にまで達した状態で、虫歯の進行が早くなります。歯の神経(歯髄)にまでは至っていませんが、進行すると痛みを感じるようになることもあります。
C2になると、歯を削る治療が必要になります。レジンの充填または詰め物(インレー)で修復します。

C3

虫歯が歯の神経(歯髄)に至った状態です。神経が細菌に感染していますので強い痛みを感じるようになり、神経の治療(根管治療)を行わなければなりません。
根管治療では感染した歯髄を少しずつ丁寧に取り除く必要がありますので、治療期間が長くなる場合があります。
根管治療の後は、歯を削った量に応じて詰め物(インレー)部分冠全部冠(クラウン)で修復します。

C4 残根

歯肉縁上の歯(歯冠部)がほとんど失われ、歯の根だけが残っているような状態です。歯冠部がほとんど残っていませんので、冠(クラウン)などの補綴治療を行うことができません。
ほとんどのケースでは抜歯をすることになりますが、当クリニックではアタッチメントを併用した入れ歯(テレスコープデンチャー磁石アタッチメントデンチャーバーアタッチメントデンチャー)の土台として歯の根を残せる場合があります。

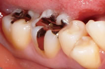
詰め物(インレー)での虫歯治療

(左)保険のメタルインレー

 (左)保険のメタルインレー

ジェットステイン除去

(右)保険外治療のセラミックインレー
(インレーが入っている部位は同じです)

詰め物(インレー)とは、奥歯に入れる部分的な歯です。虫歯があまり大きくなく、歯を削る量が少ない場合(C2~C3)に使用します。

虫歯発生のメカニズム

保険治療の詰め物(インレー)

メタルインレー

 メタルインレー

保険適用では金属(金銀パラジウム合金)の詰め物(メタルインレー)になります。
メタルインレーは強度があり、保険が適用できるという利点がありますが、見た目が悪く、時間が経つと金属イオンが溶け出して歯肉を変色させることがあるという欠点もあります。審美的回復をご希望の方にはセラミックの詰め物(インレー)、金属アレルギーがご心配な方には貴金属またはセラミックの詰め物(インレー)をおすすめしております。

コンポジットレジン充填について

初期の虫歯で歯を削る量が少ない場合は、インレーではなくコンポジットレジン(白いプラスチック)を充填して修復します。虫歯治療のためのコンポジットレジン充填は保険で行うことができますが、強度が弱い素材ですので、大きく歯を削る必要がある虫歯の治療やかみ合わせが強い方には適しません。

欠けた歯やすきっ歯に白いレジンを盛って修復するダイレクトボンディング法は、保険適用外の治療となりますので、ご了承ください。

ダイレクトボンディング法

保険外治療の詰め物(インレー)

吉祥寺セントラルクリニックでは、アレルギーを起こしにくい金属(ゴールド)や、様々な種類のセラミックの詰め物(インレー)を取り扱っています。ご予算や、審美性・アレルギー対策などの目的に合わせてお選びください。

貴金属の詰め物(インレー)

金・白金加金の詰め物(インレー)をお選びいただけます。保険の金属と比べて溶け出しのリスクが低く、アレルギーや歯肉の変色を引き起こしにくいと言う利点があります。
金属ですので強度があり、奥歯などかみ合わせの強い部位にも使用できますが、審美面ではセラミックインレーに劣ります。

セラミックの詰め物(インレー)

金・白金加金の詰め物(インレー)をお選びいただけます。保険の金属と比べて溶け出しのリスクが低く、アレルギーや歯肉の変色を引き起こしにくいと言う利点があります。
金属ですので強度があり、奥歯などかみ合わせの強い部位にも使用できますが、審美面ではセラミックインレーに劣ります。

セラミックインレー

 セラミックインレー

アレルギーがご心配な方や金属の色が気になる方は、白いセラミックの詰め物(インレー)をお選びになられています。

当クリニックでご用意しているセラミックインレーの種類は、ハイブリッドセラミックインレー(通常・ハイクオリティ)、エンプレスオールセラミックインレー(通常・ハイクオリティ)があります。ハイブリッドセラミックはセラミックとレジンの混合物、オールセラミックはレジンを含まないセラミックです。

セラミックインレーはメタルインレーと比べると強度の面でやや劣りますが、患者様の天然の歯に近い色のセラミックをお選びいただけ、時間が経ってもほとんど変色しないという利点があります。ハイブリッドセラミックよりもオールセラミックの方が透明感や色の深みなど審美面で優れています。より美しい仕上がりをご希望の方は、細かく異なった色のセラミックを何層にも塗り重ねて色の深みを増した【ハイクオリティ】タイプをお選びください。

また、当クリニックでは歯科技工が常駐しておりますので、オールセラミックをお選びいただいた場合は、患者様に直接鏡やモニターをご覧いただきながらセラミック歯への直接の色塗りを行うことが可能です。ハイブリッドセラミックにつきましては、材質的な問題から直接の色塗りが出来ませんので、ご了承ください。

セラミック治療とは

部分冠での虫歯治療

虫歯がやや大きくなり削る面積が増えた場合でも、歯の全ての面を削る必要がなく、一部分を残せることがあります。その場合には歯を冠で全部被ってしまわず、部分冠で修復します。部分冠は削る歯の部位や歯面の数によって「3/4冠(前歯)」「4/5冠(奥歯)」などと呼ぶこともあります。

虫歯発生のメカニズム

保険治療の部分冠

前歯の3/4冠(歯の裏側・両側面を削って部分冠を被せる)、奥歯の4/5冠(裏側・両側面・咬合面を削って部分冠を被せる)は、保険の金属を使用することができます。
3/4冠の場合は歯の表側は削りませんので、外からはほとんど天然歯の部分しか見えませんが、部分冠との境目の部分に少し金属の色が見えます。4/5冠は咬合面(歯のかみ合せの部分)が金属で覆われていますので、外から金属の色が見えます。
どちらも保険の金属を使用しますので、金属アレルギーをお持ちの方には適しません。

保険外治療の部分冠

貴金属の部分冠

部分冠に金・白金加金などの貴金属を使用する場合は保険が適用されず、保険外治療となります。金属アレルギーを引き起こしにくいという利点がありますが、金属の色が見える点においては保険治療の部分冠と変わりませんので、審美性にはやや難があります。

セラミックの部分冠

金属アレルギーがご心配な方や、金属の一部が見えるのが嫌だとお感じの方は、セラミックの部分冠をお選びになられています。ご自身の歯の色に近い色のセラミックをお選びいただけますので、部分冠の中では最も審美的に優れたものになります。(セラミック部分冠の費用は、セラミック全部冠と同額になります)

セラミック治療とは

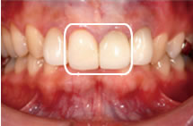
全部冠(クラウン)での虫歯治療

(左)メタルボンドセラミッククラウン

 (左)メタルボンドセラミッククラウン

(右)オールセラミッククラウン

 (右)オールセラミッククラウン

被せ物(全部冠・クラウン)とはいわゆる「差し歯」で、前歯や奥歯に被せる冠のことを言います。虫歯が大きく、歯の周囲を全面的に削る必要がある場合に使用します。

虫歯発生のメカニズム

保険治療の全部冠(クラウン)

硬質レジンジャケット冠・硬質レジン前装冠:前歯・犬歯

変色した硬質レジン前装冠

  変色した硬質レジン前装冠

前歯と犬歯は、白い材質での保険治療が認められています。
硬質レジンジャケット冠は全てレジンで出来ている冠で、金属を使用していないため金属アレルギーの心配はありませんが、割れやすく、変色しやすいという欠点を持っています。
硬質レジン前装冠とは、表側にだけレジン(プラスチック)を貼り付けてある金属冠(メタルクラウン)です。外からは白く見えますが、芯には金属を使用していますので、金属アレルギーや歯肉の変色などのリスクが高くなります。また白い部分はレジン(プラスチック)で出来ていますので、時間が経つと変色したり、かみ合わせにより磨り減ったりして来ることがあります。

メタルクラウン

 メタルクラウン

保険の金属全部冠(メタルクラウン):奥歯

奥歯は白い材質での治療には保険が適用されませんので、保険の金属冠(メタルクラウン、いわゆる銀歯)になります。強度・費用の面では優れていますが、見た目が悪く、金属アレルギーや金属イオンの影響による歯肉の変色のリスクが高いという欠点があります。
金属アレルギーがご心配な方や、見た目の美しさを希望される方は、セラミックの全部冠(クラウン)をお選びになっています。

保険外治療の全部冠(クラウン)

貴金属の全部冠(クラウン):全ての歯

金・白金加金の全部冠(クラウン)をお選びいただけます。貴金属の全部冠(クラウン)は全て保険外治療となります。
保険の金属全部冠(メタルクラウン、いわゆる銀歯)と比べて溶け出しのリスクが低く、アレルギーや歯肉の変色を引き起こしにくいと言う利点があります。

硬質レジンジャケット冠・硬質レジン前装冠:奥歯

全てレジンで出来ている硬質レジンジャケット冠と、金属の芯の表側にだけレジンを貼り付けた硬質レジン前装冠は、奥歯に使用する際には保険が適用されず保険外治療となります。
セラミック歯と比べると安価ですが強度に難があり、変色しやすいと言う欠点もあります。

セラミック冠(通常・ハイクオリティ):全ての歯

吉祥寺セントラルクリニックでは、患者様からセラミック歯の仕上がりの良さにご満足いただいているというご感想をしばしばいただきますが、取り扱っているセラミックの種類が多く、患者様のご希望に極めて近いものをお選びいただけることがその理由のひとつとして挙げられるかと思います。

当クリニックにてお選びいただけるセラミック冠は、ハイブリッドセラミック(通常・ハイクオリティ)、メタルボンドセラミック(通常・ハイクオリティ)、エンプレスオールセラミック(通常・ハイクオリティ)、CAD/CAMオールセラミック(通常・ハイクオリティ)の順で審美性が高くなっております。
レジンを含むハイブリッドセラミックは透明感や色の深みがやや劣りますが、メタルボンドセラミック以上であれば充分な美しさに仕上がります。ご予算や生活習慣に合ったセラミックをお選びいただけますので、人気のセラミック材料は患者様の年齢によっても異なります。

10代・20代の前半の患者様および子育ての最中の患者様
費用面の問題からハイブリッドセラミッククラウンもしくはメタルボンドセラミッククラウンを選ぶ傾向が高いです。
20代後半の患者様および30代・40代の患者様
費用は少し高くなっても透明感のある綺麗なオールセラミッククラウンを選ぶ傾向が高いです。
50代・60代の患者様
歯周病の進行などにより、歯が欠損しているためブリッジ治療となることがあることから、強度の高いジルコニア素材のオールセラミッククラウンを選ぶ傾向が高いです。
初診予約受付
EPARK歯科
無料カウンセリング予約 無料メール相談 ご予約変更・キャンセル

吉祥寺セントラルクリニック

〒180-0004
東京都武蔵野市吉祥寺本町1-4-18
ジョージフォーラムビル5階・3階(5階受付)
※吉祥寺駅北口隣接
※サーティワンアイスクリームの
入っているビルの5Fです
アクセス