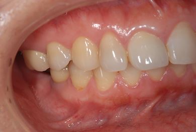
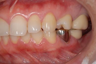
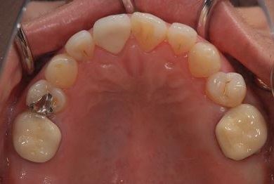
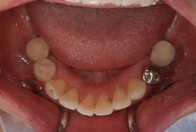
インプラントの症例写真 IMPLANT
インプラント治療+セラミック治療
| カテゴリー | 【インプラント治療】【セラミック治療】 | ||||||||||||||||||||||||||||||||
|---|---|---|---|---|---|---|---|---|---|---|---|---|---|---|---|---|---|---|---|---|---|---|---|---|---|---|---|---|---|---|---|---|---|
| 性別/年齢 | 女性 / 47歳 | ||||||||||||||||||||||||||||||||
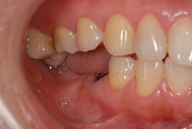
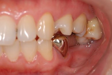
| 主訴 | 前歯や、下の奥など、何本か気になる歯がある。 | ||||||||||||||||||||||||||||||||
| 治療方針 | インプラント治療により、機能的・審美的回復を行う。 | ||||||||||||||||||||||||||||||||
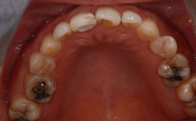
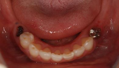
| 治療内容 | インプラント2本、メタルボンドセラミッククラウン4本、ジルコニアフレームオールセラミッククラウン1本(オールセラミック用土台1本) | ||||||||||||||||||||||||||||||||
| 治療部位 |
|
||||||||||||||||||||||||||||||||
| 総治療費 | 1,188,864円 | ||||||||||||||||||||||||||||||||
| 治療期間 | 2年10ヶ月 |
副作用・リスク
インプラント治療の副作用・リスクについて
インプラント埋め込み施術は外科治療のため、腫れる可能性があります。細菌感染すると施術のやり直しになりますが、当院では洗浄・滅菌を徹底して感染リスクを抑えます。また、インプラント周囲炎にならないために、通常の歯と同じように丁寧なブラッシングや定期メンテナンスが重要となります。
セラミック治療の副作用・リスクについて
インプラント埋め込み施術は外科治療のため、腫れる可能性があります。また、細菌感染すると施術のやり直しになる場合がありますが、当院では洗浄・滅菌を徹底して感染リスクを抑えます。インプラント周囲炎にならないよう、丁寧な歯磨きが必要です。












