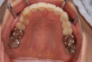
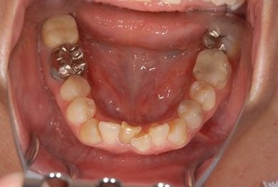
セラミックの症例写真 SHINBI
セラミック治療
| カテゴリー | 【セラミック治療】 | ||||||||||||||||||||||||||||||||
|---|---|---|---|---|---|---|---|---|---|---|---|---|---|---|---|---|---|---|---|---|---|---|---|---|---|---|---|---|---|---|---|---|---|
| 性別/年齢 | 女性 / 40歳 | ||||||||||||||||||||||||||||||||
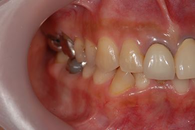
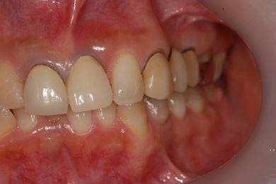
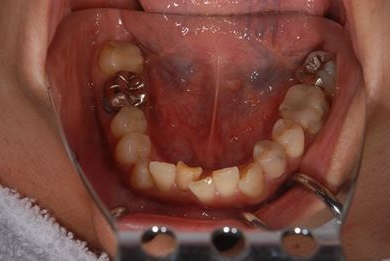
| 主訴 | 前歯のさし歯の部分が目立ってしまい、新しくしたい。痛みも少しある。 | ||||||||||||||||||||||||||||||||
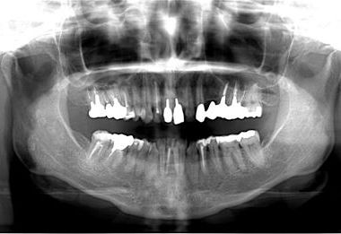
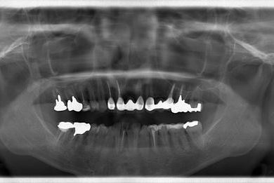
| 治療方針 | 保存不能な歯を抜歯し、セラミック治療にて、機能的・審美的回復を行う。 | ||||||||||||||||||||||||||||||||
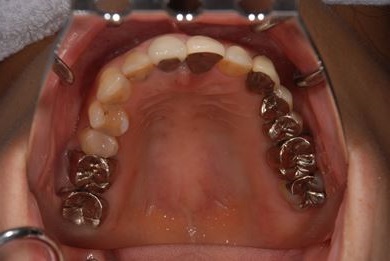
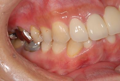
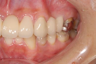
| 治療内容 | ジルコニアフレームオールセラミッククラウン7本(オールセラミック用土台3本)、ハイブリッドセラミッククラウン1本、ハイブリッドセラミックインレー1本 | ||||||||||||||||||||||||||||||||
| 治療部位 |
|
||||||||||||||||||||||||||||||||
| 総治療費 | 1,390,305円 | ||||||||||||||||||||||||||||||||
| 治療期間 | 11ヶ月 |
副作用・リスク
セラミック治療の副作用・リスクについて
インプラント埋め込み施術は外科治療のため、腫れる可能性があります。また、細菌感染すると施術のやり直しになる場合がありますが、当院では洗浄・滅菌を徹底して感染リスクを抑えます。インプラント周囲炎にならないよう、丁寧な歯磨きが必要です。












