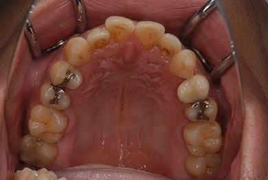
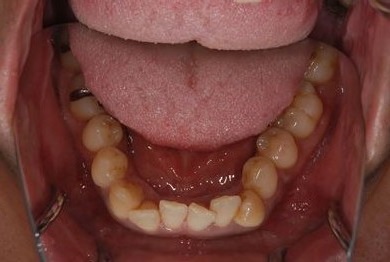
セラミックの症例写真 SHINBI
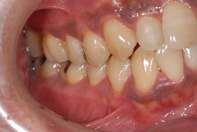
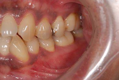
セラミック治療+歯肉歯槽骨整形術
| カテゴリー | 【セラミック治療】 | ||||||||||||||||||||||||||||||||
|---|---|---|---|---|---|---|---|---|---|---|---|---|---|---|---|---|---|---|---|---|---|---|---|---|---|---|---|---|---|---|---|---|---|
| 性別/年齢 | 男性 / 45歳 | ||||||||||||||||||||||||||||||||
| 主訴 | 詰め物をしている歯が割れてしまったので、治療して欲しい。 | ||||||||||||||||||||||||||||||||
| 治療方針 | セラミック治療にて、審美的回復を行う。 | ||||||||||||||||||||||||||||||||
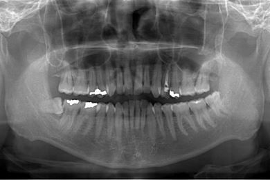
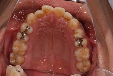
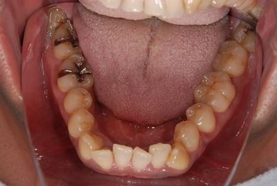
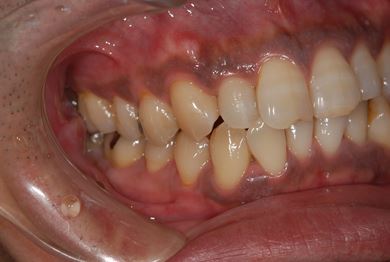
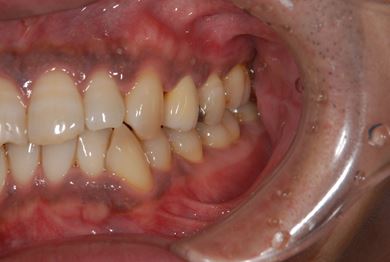
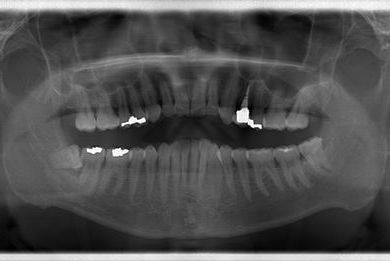
| 治療内容 | メタルボンドセラミッククラウン1本(メタルボンドセラミック用土台1本)、歯肉歯槽骨整形手術 | ||||||||||||||||||||||||||||||||
| 治療部位 |
|
||||||||||||||||||||||||||||||||
| 総治療費 | 157,185円 | ||||||||||||||||||||||||||||||||
| 治療期間 | 7ヶ月 |
副作用・リスク
セラミック治療の副作用・リスクについて
インプラント埋め込み施術は外科治療のため、腫れる可能性があります。また、細菌感染すると施術のやり直しになる場合がありますが、当院では洗浄・滅菌を徹底して感染リスクを抑えます。インプラント周囲炎にならないよう、丁寧な歯磨きが必要です。












