インプラントの症例写真 IMPLANT
インプラント治療+セラミック治療+歯周組織再生療法
| カテゴリー | 【インプラント治療】【セラミック治療】 | ||||||||||||||||||||||||||||||||
|---|---|---|---|---|---|---|---|---|---|---|---|---|---|---|---|---|---|---|---|---|---|---|---|---|---|---|---|---|---|---|---|---|---|
| 性別/年齢 | 男性 / 52歳 | ||||||||||||||||||||||||||||||||
| 主訴 | 歯を徹底的に治したい。 | ||||||||||||||||||||||||||||||||
| 治療方針 | インプラント、セラミック治療にて、機能的・審美的回復を行う。 | ||||||||||||||||||||||||||||||||
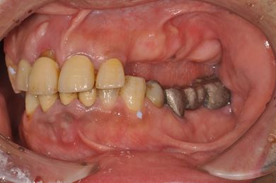
| 治療内容 | インプラント10本(テンポラリーインプラント2本)、メタルボンドセラミッククラウン6本(メタルボンド用土台3本)、ハイブリッドセラミッククラウン14本(ハイブリッドセラミック用土台1本)、歯肉歯槽骨整形術、結合組織移植術 | ||||||||||||||||||||||||||||||||
| 治療部位 |
|
||||||||||||||||||||||||||||||||
| 総治療費 | 5,206,343円 | ||||||||||||||||||||||||||||||||
| 治療期間 | 1年6ヶ月 |
副作用・リスク
インプラント治療の副作用・リスクについて
インプラント埋め込み施術は外科治療のため、腫れる可能性があります。細菌感染すると施術のやり直しになりますが、当院では洗浄・滅菌を徹底して感染リスクを抑えます。また、インプラント周囲炎にならないために、通常の歯と同じように丁寧なブラッシングや定期メンテナンスが重要となります。
セラミック治療の副作用・リスクについて
インプラント埋め込み施術は外科治療のため、腫れる可能性があります。また、細菌感染すると施術のやり直しになる場合がありますが、当院では洗浄・滅菌を徹底して感染リスクを抑えます。インプラント周囲炎にならないよう、丁寧な歯磨きが必要です。












