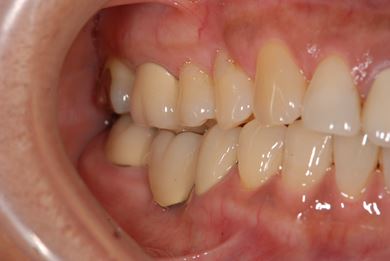
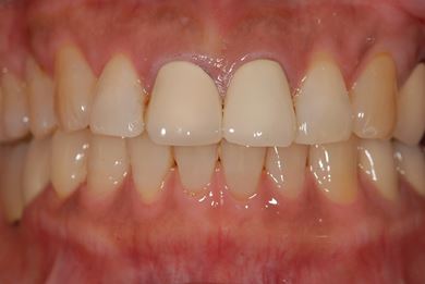
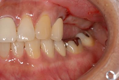
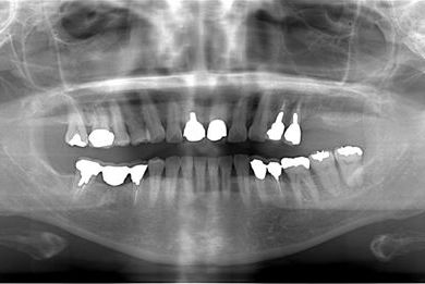
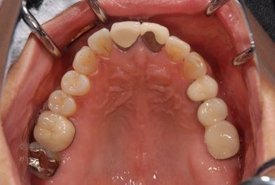
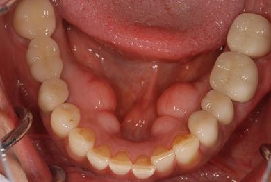
インプラントの症例写真 IMPLANT
骨再生インプラント治療+セラミック治療+歯肉歯槽骨整形手術
| カテゴリー | 【インプラント治療】【セラミック治療】 | ||||||||||||||||||||||||||||||||
|---|---|---|---|---|---|---|---|---|---|---|---|---|---|---|---|---|---|---|---|---|---|---|---|---|---|---|---|---|---|---|---|---|---|
| 性別/年齢 | 女性 / 57歳 | ||||||||||||||||||||||||||||||||
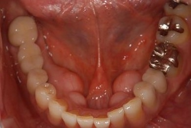
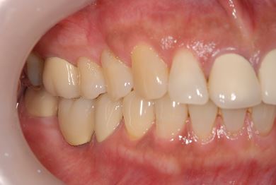
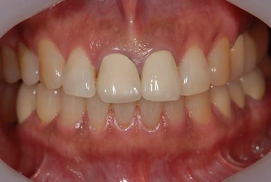
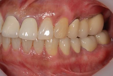
| 主訴 | 左奥上の歯ぐきの痛みの治療相談。 | ||||||||||||||||||||||||||||||||
| 治療方針 | ソケットリフトにより上顎洞を拳上し、骨再生法を行い、インプラント治療を可能にする。 | ||||||||||||||||||||||||||||||||
| 治療内容 | インプラント2本(ソケットリフト、GBR)、メタルボンドセラミッククラウン3本、歯肉歯槽骨整形手術 | ||||||||||||||||||||||||||||||||
| 治療部位 |
|
||||||||||||||||||||||||||||||||
| 総治療費 | 1,315,650円 | ||||||||||||||||||||||||||||||||
| 治療期間 | 9ヶ月 |
副作用・リスク
インプラント治療の副作用・リスクについて
インプラント埋め込み施術は外科治療のため、腫れる可能性があります。細菌感染すると施術のやり直しになりますが、当院では洗浄・滅菌を徹底して感染リスクを抑えます。また、インプラント周囲炎にならないために、通常の歯と同じように丁寧なブラッシングや定期メンテナンスが重要となります。
セラミック治療の副作用・リスクについて
インプラント埋め込み施術は外科治療のため、腫れる可能性があります。また、細菌感染すると施術のやり直しになる場合がありますが、当院では洗浄・滅菌を徹底して感染リスクを抑えます。インプラント周囲炎にならないよう、丁寧な歯磨きが必要です。












