セラミックの症例写真 SHINBI
セラミック治療
| カテゴリー | 【セラミック治療】 | ||||||||||||||||||||||||||||||||
|---|---|---|---|---|---|---|---|---|---|---|---|---|---|---|---|---|---|---|---|---|---|---|---|---|---|---|---|---|---|---|---|---|---|
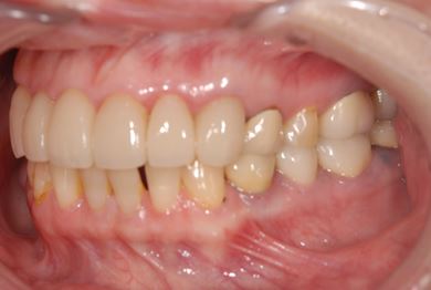
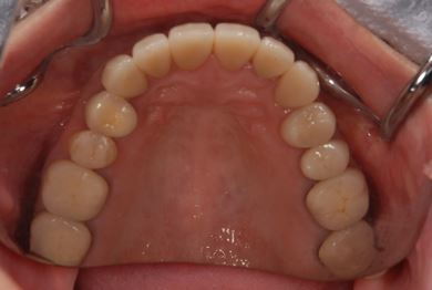
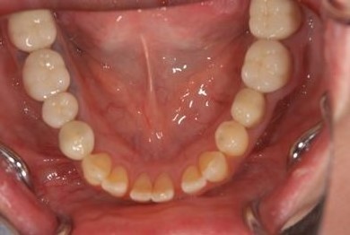
| 性別/年齢 | 女性 / 51歳 | ||||||||||||||||||||||||||||||||
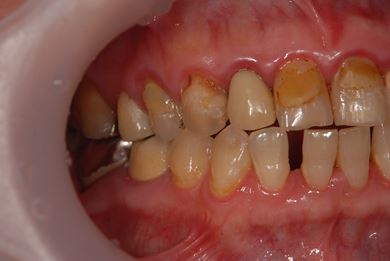
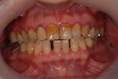
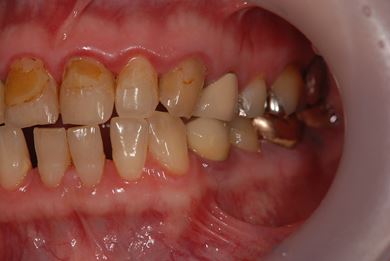
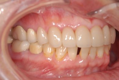
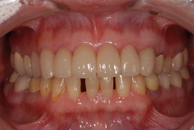
| 主訴 | 前の歯の治療後の変色が気になる。詰め物がとれた箇所あり。痛みあり。 | ||||||||||||||||||||||||||||||||
| 治療方針 | セラミック治療にて、審美的回復を行う。 | ||||||||||||||||||||||||||||||||
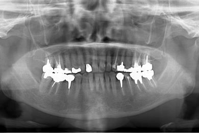
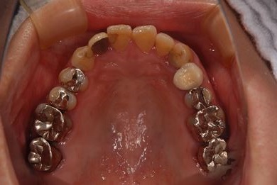
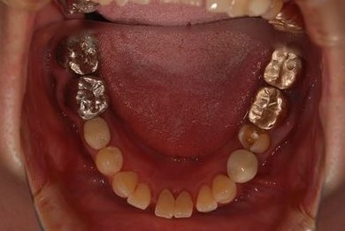
| 治療内容 | オールセラミッククラウン7本(オールセラミック用土台1本)、ハイブリッドセラミッククラウン10本(ハイブリッドセラミック用土台9本)、ハイブリッドセラミックインレー1本 | ||||||||||||||||||||||||||||||||
| 治療部位 |
|
||||||||||||||||||||||||||||||||
| 総治療費 | 961,800円 | ||||||||||||||||||||||||||||||||
| 治療期間 | 10ヶ月 |
副作用・リスク
セラミック治療の副作用・リスクについて
インプラント埋め込み施術は外科治療のため、腫れる可能性があります。また、細菌感染すると施術のやり直しになる場合がありますが、当院では洗浄・滅菌を徹底して感染リスクを抑えます。インプラント周囲炎にならないよう、丁寧な歯磨きが必要です。












