セラミックの症例写真 SHINBI
セラミック治療
| カテゴリー | 【セラミック治療】 | ||||||||||||||||||||||||||||||||
|---|---|---|---|---|---|---|---|---|---|---|---|---|---|---|---|---|---|---|---|---|---|---|---|---|---|---|---|---|---|---|---|---|---|
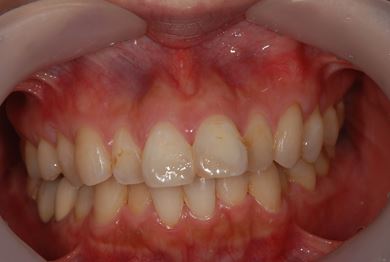
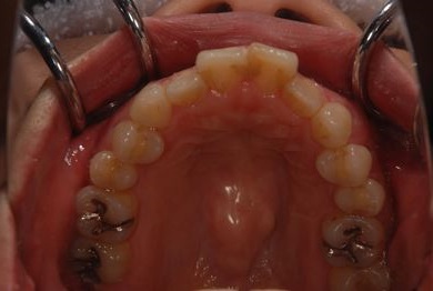
| 性別/年齢 | 女性 / 33歳 | ||||||||||||||||||||||||||||||||
| 主訴 | 右下(銀歯で、神経を抜いたところ)の歯の中が痛む。歯ぐき全体に痛みが1ヵ月くらい続いている。 | ||||||||||||||||||||||||||||||||
| 治療方針 | 右下治療保存な歯を抜歯し、ブリッジにて機能的・審美的な回復を行う。 | ||||||||||||||||||||||||||||||||
| 治療内容 | ハイブリッドセラミッククラウン3本(ハイブリッドセラミック用土台2本) | ||||||||||||||||||||||||||||||||
| 治療部位 |
|
||||||||||||||||||||||||||||||||
| 総治療費 | 162,750円 | ||||||||||||||||||||||||||||||||
| 治療期間 | 6ヶ月 |
副作用・リスク
セラミック治療の副作用・リスクについて
インプラント埋め込み施術は外科治療のため、腫れる可能性があります。また、細菌感染すると施術のやり直しになる場合がありますが、当院では洗浄・滅菌を徹底して感染リスクを抑えます。インプラント周囲炎にならないよう、丁寧な歯磨きが必要です。












