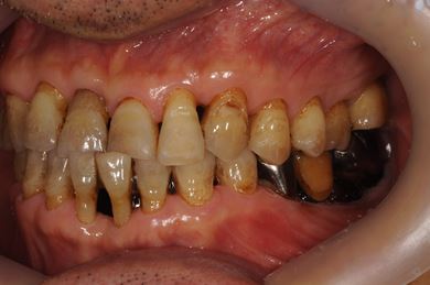
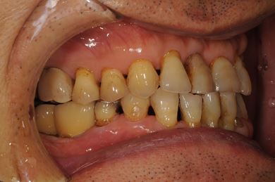
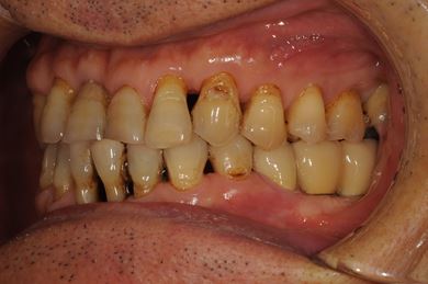
インプラントの症例写真 IMPLANT
抜歯即日スピードインプラント治療+セラミック治療+歯肉遊離移植術
| カテゴリー | 【インプラント治療】【セラミック治療】 | ||||||||||||||||||||||||||||||||
|---|---|---|---|---|---|---|---|---|---|---|---|---|---|---|---|---|---|---|---|---|---|---|---|---|---|---|---|---|---|---|---|---|---|
| 性別/年齢 | 男性 / 64歳 | ||||||||||||||||||||||||||||||||
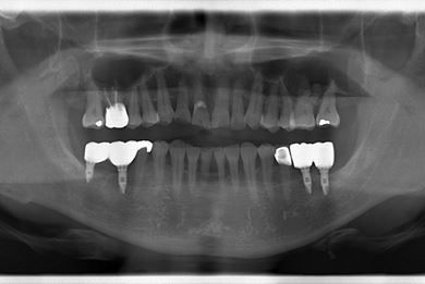
| 主訴 | 左最奥の下部ブリッジが不安定になっており、奥2本のインプラントを考えたい。 | ||||||||||||||||||||||||||||||||
| 治療方針 | 抜歯と同時にインプラント埋入を行い、治療期間を短縮する。 | ||||||||||||||||||||||||||||||||
| 治療内容 | インプラント4本(抜歯即日スピードインプラント)、メタルボンドセラミッククラウン5本、ハイブリッドセラミッククラウン1本(ハイブリッドセラミック用土台1本) | ||||||||||||||||||||||||||||||||
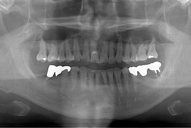
| 治療部位 |
|
||||||||||||||||||||||||||||||||
| 総治療費 | 1,931,685円 | ||||||||||||||||||||||||||||||||
| 治療期間 | 1年2ヶ月 |
副作用・リスク
インプラント治療の副作用・リスクについて
インプラント埋め込み施術は外科治療のため、腫れる可能性があります。細菌感染すると施術のやり直しになりますが、当院では洗浄・滅菌を徹底して感染リスクを抑えます。また、インプラント周囲炎にならないために、通常の歯と同じように丁寧なブラッシングや定期メンテナンスが重要となります。
セラミック治療の副作用・リスクについて
インプラント埋め込み施術は外科治療のため、腫れる可能性があります。また、細菌感染すると施術のやり直しになる場合がありますが、当院では洗浄・滅菌を徹底して感染リスクを抑えます。インプラント周囲炎にならないよう、丁寧な歯磨きが必要です。












