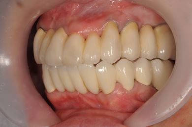
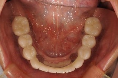
インプラントの症例写真 IMPLANT
骨再生スピードインプラント治療+セラミック治療
| カテゴリー | 【インプラント治療】【セラミック治療】 | ||||||||||||||||||||||||||||||||
|---|---|---|---|---|---|---|---|---|---|---|---|---|---|---|---|---|---|---|---|---|---|---|---|---|---|---|---|---|---|---|---|---|---|
| 性別/年齢 | 女性 / 43歳 | ||||||||||||||||||||||||||||||||
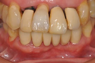
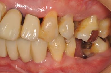
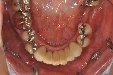
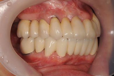
| 主訴 | 骨が薄いが、インプラント治療を希望。 | ||||||||||||||||||||||||||||||||
| 治療方針 | 抜歯と同時にインプラントを埋入し、治療期間を短縮する。ソケットリフトにて上顎洞を拳上し、インプラント治療を可能にする。 | ||||||||||||||||||||||||||||||||
| 治療内容 | インプラント9本(抜歯即日スピードインプラント、ソケットリフト、テンポラリーインプラント+仮歯)、メタルボンドセラミッククラウン18本、メタルボンドセラミックブリッジ6本(メタルボンド用土台6本)、遊離歯肉移植術 | ||||||||||||||||||||||||||||||||
| 治療部位 |
|
||||||||||||||||||||||||||||||||
| 総治療費 | 6,282,150円 | ||||||||||||||||||||||||||||||||
| 治療期間 | 1年8ヶ月 |
副作用・リスク
インプラント治療の副作用・リスクについて
インプラント埋め込み施術は外科治療のため、腫れる可能性があります。細菌感染すると施術のやり直しになりますが、当院では洗浄・滅菌を徹底して感染リスクを抑えます。また、インプラント周囲炎にならないために、通常の歯と同じように丁寧なブラッシングや定期メンテナンスが重要となります。
セラミック治療の副作用・リスクについて
インプラント埋め込み施術は外科治療のため、腫れる可能性があります。また、細菌感染すると施術のやり直しになる場合がありますが、当院では洗浄・滅菌を徹底して感染リスクを抑えます。インプラント周囲炎にならないよう、丁寧な歯磨きが必要です。












