インプラントの症例写真 IMPLANT
骨再生インプラント治療
| カテゴリー | 【インプラント治療】【セラミック治療】 | ||||||||||||||||||||||||||||||||
|---|---|---|---|---|---|---|---|---|---|---|---|---|---|---|---|---|---|---|---|---|---|---|---|---|---|---|---|---|---|---|---|---|---|
| 性別/年齢 | 女性 / 40歳 | ||||||||||||||||||||||||||||||||
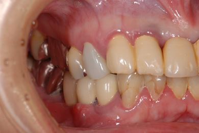
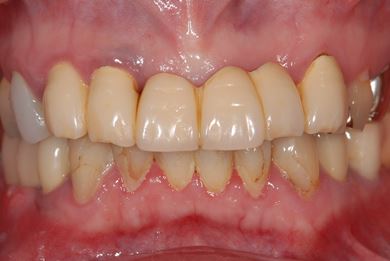
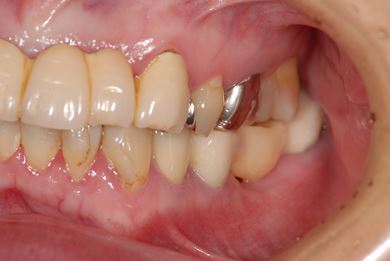
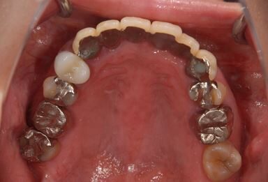
| 主訴 | 右下のブリッジが外れているかもしれないという診断を受けましたが、開けてみないとわからない、場合によっては部分入れ歯と言われ、セカンドオピニオンを希望。腫れがあるのも気になります。 | ||||||||||||||||||||||||||||||||
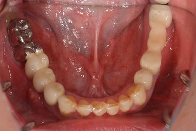
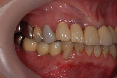
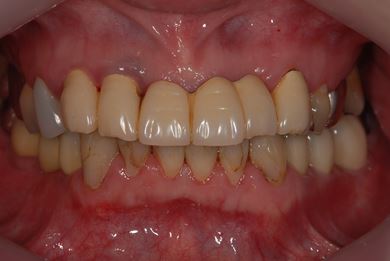
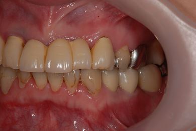
| 治療方針 | 右下奥、骨再生法によりインプラント治療を可能にする。 | ||||||||||||||||||||||||||||||||
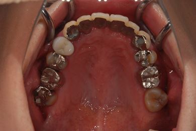
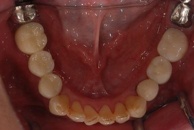
| 治療内容 | インプラント3本(GBR、テンポラリーインプラント+仮歯)、ハイブリッドセラミックブリッジ3本、ハイブリッドセラミッククラウン2本 | ||||||||||||||||||||||||||||||||
| 治療部位 |
|
||||||||||||||||||||||||||||||||
| 総治療費 | 1,524,338円 | ||||||||||||||||||||||||||||||||
| 治療期間 | 1年0ヶ月 |
副作用・リスク
インプラント治療の副作用・リスクについて
インプラント埋め込み施術は外科治療のため、腫れる可能性があります。細菌感染すると施術のやり直しになりますが、当院では洗浄・滅菌を徹底して感染リスクを抑えます。また、インプラント周囲炎にならないために、通常の歯と同じように丁寧なブラッシングや定期メンテナンスが重要となります。
セラミック治療の副作用・リスクについて
インプラント埋め込み施術は外科治療のため、腫れる可能性があります。また、細菌感染すると施術のやり直しになる場合がありますが、当院では洗浄・滅菌を徹底して感染リスクを抑えます。インプラント周囲炎にならないよう、丁寧な歯磨きが必要です。












