インプラントの症例写真 IMPLANT
骨再生インプラント治療+セラミック治療
| カテゴリー | 【インプラント治療】【セラミック治療】 | ||||||||||||||||||||||||||||||||
|---|---|---|---|---|---|---|---|---|---|---|---|---|---|---|---|---|---|---|---|---|---|---|---|---|---|---|---|---|---|---|---|---|---|
| 性別/年齢 | 男性 / 60歳 | ||||||||||||||||||||||||||||||||
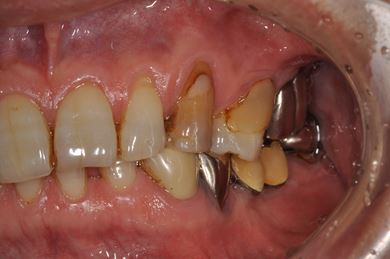
| 主訴 | 右上奥歯が動いて痛みがある。 | ||||||||||||||||||||||||||||||||
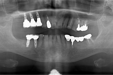
| 治療方針 | サイナスリフトにて上顎洞を拳上し、骨再生療法を用いてインプラント治療を可能にする。 | ||||||||||||||||||||||||||||||||
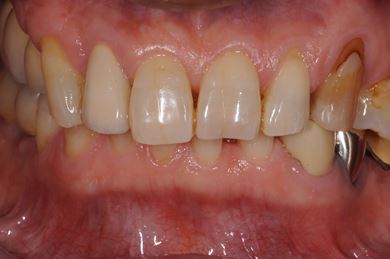
| 治療内容 | インプラント5本(サイナスリフト、GBR)、ハイブリッドセラミッククラウン5本、メタルボンドセラミッククラウン1本(メタルボンド用土台1本)、ハイブリッドセラミックインレー、遊離歯肉移植手術 | ||||||||||||||||||||||||||||||||
| 治療部位 |
|
||||||||||||||||||||||||||||||||
| 総治療費 | 2,498,265円 | ||||||||||||||||||||||||||||||||
| 治療期間 | 1年7ヶ月 |
副作用・リスク
インプラント治療の副作用・リスクについて
インプラント埋め込み施術は外科治療のため、腫れる可能性があります。細菌感染すると施術のやり直しになりますが、当院では洗浄・滅菌を徹底して感染リスクを抑えます。また、インプラント周囲炎にならないために、通常の歯と同じように丁寧なブラッシングや定期メンテナンスが重要となります。
セラミック治療の副作用・リスクについて
インプラント埋め込み施術は外科治療のため、腫れる可能性があります。また、細菌感染すると施術のやり直しになる場合がありますが、当院では洗浄・滅菌を徹底して感染リスクを抑えます。インプラント周囲炎にならないよう、丁寧な歯磨きが必要です。












