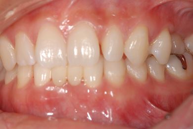
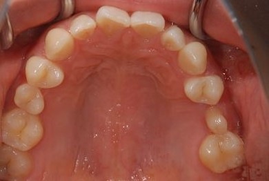
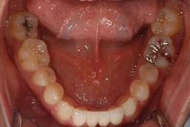
セラミックの症例写真 SHINBI
セラミック治療
| カテゴリー | 【セラミック治療】 | ||||||||||||||||||||||||||||||||
|---|---|---|---|---|---|---|---|---|---|---|---|---|---|---|---|---|---|---|---|---|---|---|---|---|---|---|---|---|---|---|---|---|---|
| 性別/年齢 | 女性 / 28歳 | ||||||||||||||||||||||||||||||||
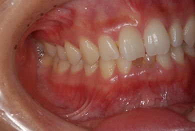
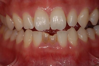
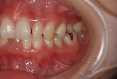
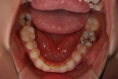
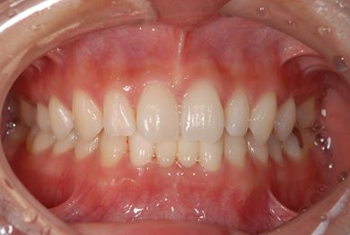
| 主訴 | 下前歯の色が気になるので、ホワイトニングかセラミック治療できれいにしたい。(下前歯2本は乳歯でした) | ||||||||||||||||||||||||||||||||
| 治療方針 | 下顎前歯、乳歯を抜歯し、セラミック治療にて審美的回復を行う。 | ||||||||||||||||||||||||||||||||
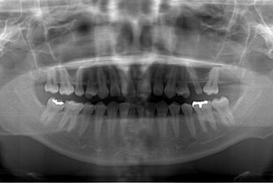
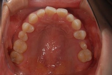
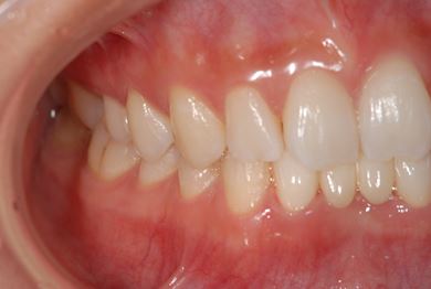
| 治療内容 | エンプレスジルコニアフレームオールセラミッククラウンブリッジ4本 | ||||||||||||||||||||||||||||||||
| 治療部位 |
|
||||||||||||||||||||||||||||||||
| 総治療費 | 723,450円 | ||||||||||||||||||||||||||||||||
| 治療期間 | 2ヶ月 |
副作用・リスク
セラミック治療の副作用・リスクについて
インプラント埋め込み施術は外科治療のため、腫れる可能性があります。また、細菌感染すると施術のやり直しになる場合がありますが、当院では洗浄・滅菌を徹底して感染リスクを抑えます。インプラント周囲炎にならないよう、丁寧な歯磨きが必要です。












