セラミックの症例写真 SHINBI
インプラント矯正治療+セラミック治療
| カテゴリー | 【矯正治療】【セラミック治療】 | ||||||||||||||||||||||||||||||||
|---|---|---|---|---|---|---|---|---|---|---|---|---|---|---|---|---|---|---|---|---|---|---|---|---|---|---|---|---|---|---|---|---|---|
| 性別/年齢 | 女性 / 35歳 | ||||||||||||||||||||||||||||||||
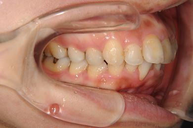
| 主訴 | 歯並び(乱ぐい歯、出っ歯)と歯の色が気になる。 | ||||||||||||||||||||||||||||||||
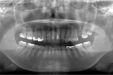
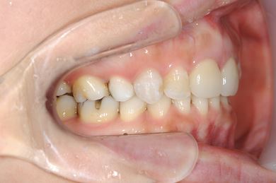
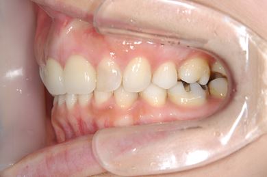
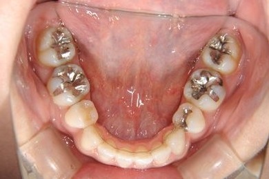
| 治療方針 | 左上の第一大臼歯がすでに抜歯され欠損の状態で来院されました。デンタルインプラント、あるいはブリッジで補綴するよりも、上あごが突出していること、乱杭歯があることより、矯正治療を第一選択としました。上下第一小臼歯を4本抜歯してその隙間を利用し、治療していきました。抜歯スペースをすべて効率的に利用したいため、上顎左右、下顎左側1本の計3本のインプラントアンカーを使用します。左上は第二大臼歯、智歯を利用しています。今後保定装置の針金は一生装着予定です。上顎の中切歯は左右とも人工的にかぶせものをしています。初診の歯牙変色がなくなり、審美的にもとてもよくなりました。 | ||||||||||||||||||||||||||||||||
| 治療内容 | インプラント矯正(唇側矯正ホワイト、審美ワイヤー、左右上顎第一小臼歯抜歯、上顎インプラントアンカー) | ||||||||||||||||||||||||||||||||
| 治療部位 |
|
||||||||||||||||||||||||||||||||
| 総治療費 | 1,244,250円 | ||||||||||||||||||||||||||||||||
| 治療期間 | 1年9ヶ月 |
副作用・リスク
矯正治療の副作用・リスクについて
わずかですが歯の動く痛みを感じる場合があります。矯正装置周辺が虫歯や歯肉炎にならないよう、丁寧な歯磨きが必要です。
セラミック治療の副作用・リスクについて
インプラント埋め込み施術は外科治療のため、腫れる可能性があります。また、細菌感染すると施術のやり直しになる場合がありますが、当院では洗浄・滅菌を徹底して感染リスクを抑えます。インプラント周囲炎にならないよう、丁寧な歯磨きが必要です。












