セラミックの症例写真 SHINBI
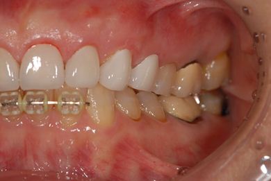
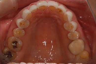
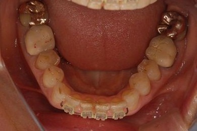
部分矯正治療+セラミック治療
| カテゴリー | 【セラミック治療】【矯正治療】 | ||||||||||||||||||||||||||||||||
|---|---|---|---|---|---|---|---|---|---|---|---|---|---|---|---|---|---|---|---|---|---|---|---|---|---|---|---|---|---|---|---|---|---|
| 性別/年齢 | 女性 / 54歳 | ||||||||||||||||||||||||||||||||
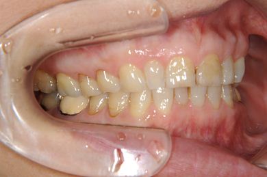
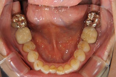
| 主訴 | 下の前歯のゆがみが気になり、相談。 | ||||||||||||||||||||||||||||||||
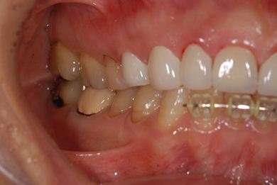
| 治療方針 | 上顎前歯の叢生を部分矯正にて審美的回復を行い、上顎前歯はラミネートベニアにて審美的回復を行う。 | ||||||||||||||||||||||||||||||||
| 治療内容 | 唇側部分矯正(ホワイト)、オールセラミックラミネートベニア8本 | ||||||||||||||||||||||||||||||||
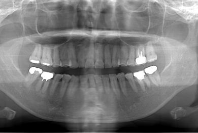
| 治療部位 |
|
||||||||||||||||||||||||||||||||
| 総治療費 | 1,361,063円 | ||||||||||||||||||||||||||||||||
| 治療期間 | 2ヶ月 |
副作用・リスク
矯正治療の副作用・リスクについて
わずかですが歯の動く痛みを感じる場合があります。矯正装置周辺が虫歯や歯肉炎にならないよう、丁寧な歯磨きが必要です。
セラミック治療の副作用・リスクについて
インプラント埋め込み施術は外科治療のため、腫れる可能性があります。また、細菌感染すると施術のやり直しになる場合がありますが、当院では洗浄・滅菌を徹底して感染リスクを抑えます。インプラント周囲炎にならないよう、丁寧な歯磨きが必要です。











