セラミックの症例写真 SHINBI
全顎矯正治療+セラミック治療
| カテゴリー | 【セラミック治療】【矯正治療】 | ||||||||||||||||||||||||||||||||
|---|---|---|---|---|---|---|---|---|---|---|---|---|---|---|---|---|---|---|---|---|---|---|---|---|---|---|---|---|---|---|---|---|---|
| 性別/年齢 | 女性 / 35歳 | ||||||||||||||||||||||||||||||||
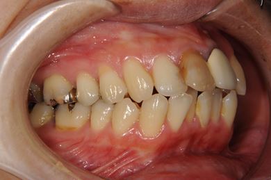
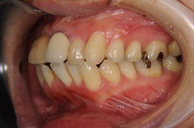
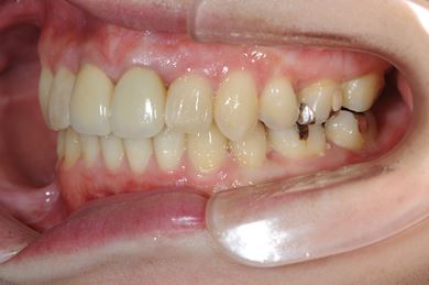
| 主訴 | 出っ歯 上顎前歯の並び | ||||||||||||||||||||||||||||||||
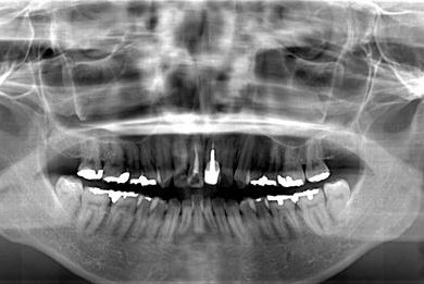
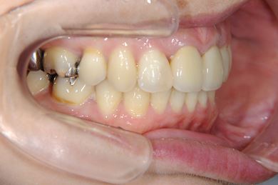
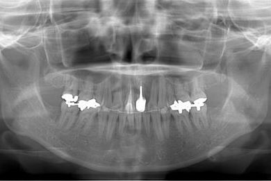
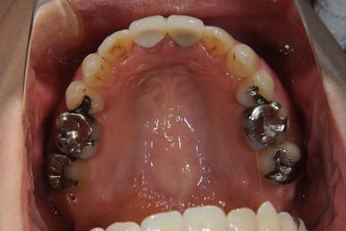
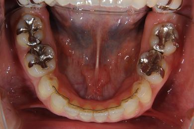
| 治療方針 | 上下歯牙がだいぶ前にでていて口が閉じづらい状態でした。なるべく金属が入っている歯を抜歯したいので、上下左右第二小臼歯を抜歯して、その隙間を利用して、口元をさげていきました。また、口元を最善の状態にうるために、抜歯スペースを使用したあと、上下左右のインプラントアンカー(釘)でより一層口元を後ろにさげていきました。ただの抜歯ケースよりだいぶ口元が下がっているのが分かります。抜歯したスペースががたつき(叢生量)で使用してしまう場合には、このような方法でより口元をさげることができます。お顔立ちがとてもよくなりました。とても協力していただけたので、しっかりと良くなることができました。 | ||||||||||||||||||||||||||||||||
| 治療内容 | 唇側矯正(ホワイト・上下左右第二小臼歯抜歯・上下インプラントアンカー)、オールセラミッククラウン1本(オールセラミック用土台1本)、ジルコニアフレームオールセラミッククラウン1本 | ||||||||||||||||||||||||||||||||
| 治療部位 |
|
||||||||||||||||||||||||||||||||
| 総治療費 | 1,136,630円 | ||||||||||||||||||||||||||||||||
| 治療期間 | 2年5ヶ月 |
副作用・リスク
矯正治療の副作用・リスクについて
わずかですが歯の動く痛みを感じる場合があります。矯正装置周辺が虫歯や歯肉炎にならないよう、丁寧な歯磨きが必要です。
セラミック治療の副作用・リスクについて
インプラント埋め込み施術は外科治療のため、腫れる可能性があります。また、細菌感染すると施術のやり直しになる場合がありますが、当院では洗浄・滅菌を徹底して感染リスクを抑えます。インプラント周囲炎にならないよう、丁寧な歯磨きが必要です。












