KCC
吉祥寺セントラルクリニック
0120-203-640
KCC
三鷹公園通り歯科・小児歯科
0120-970-967

セラミックの症例写真 SHINBI

セラミック治療

カテゴリー 【セラミック治療】
性別/年齢 女性 / 42歳
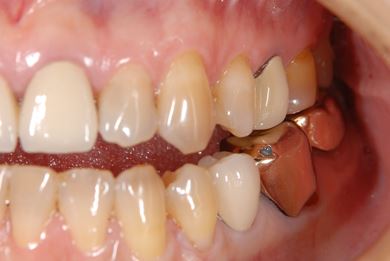
主訴 右下の奥歯をセラミックで治療したい。
治療方針
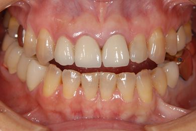
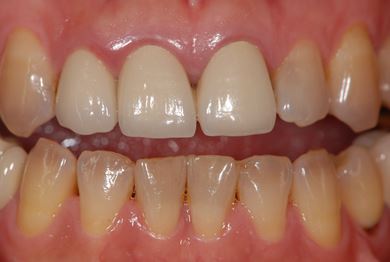
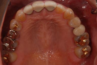
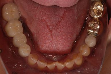
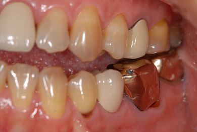
治療内容 メタルボンドセラミック(クラウン1本、ブリッジ3本、メタルボンドセラミック土台1本)+ハイブリッドセラミックインレー1本
治療部位
4
7 6 5 4
総治療費 478,905円
治療期間 6ヶ月

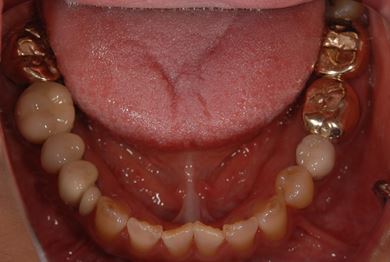
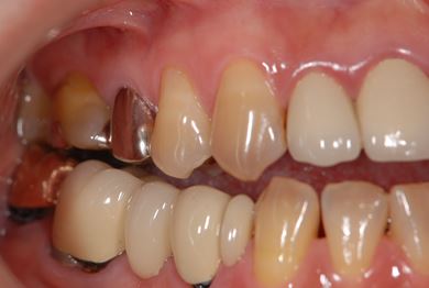
治療前

  • 治療前
  • 治療前
  • 治療前
  • 治療前
  • 治療前
  • 治療前

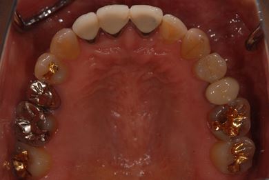
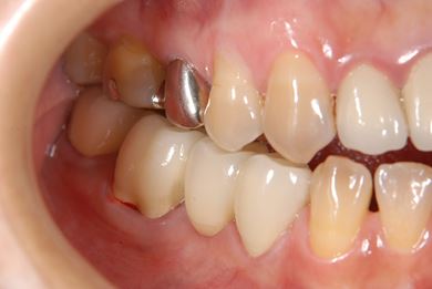
治療後

  • 治療後
  • 治療後
  • 治療後
  • 治療後
  • 治療後
  • 治療後

副作用・リスク

セラミック治療の副作用・リスクについて

インプラント埋め込み施術は外科治療のため、腫れる可能性があります。また、細菌感染すると施術のやり直しになる場合がありますが、当院では洗浄・滅菌を徹底して感染リスクを抑えます。インプラント周囲炎にならないよう、丁寧な歯磨きが必要です。