セラミックの症例写真 SHINBI
セラミック治療
| カテゴリー | 【セラミック治療】 | ||||||||||||||||||||||||||||||||
|---|---|---|---|---|---|---|---|---|---|---|---|---|---|---|---|---|---|---|---|---|---|---|---|---|---|---|---|---|---|---|---|---|---|
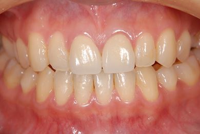
| 性別/年齢 | 女性 / 30歳 | ||||||||||||||||||||||||||||||||
| 主訴 | 神経を抜いている前歯が変色し、熱いもの・冷たいもので違和感がある。プラスチック治療をした歯が虫歯を繰り返したり欠けたりするのが気になるため、セラミック治療やクリーニング、ホワイトニング含めて相談したい。 | ||||||||||||||||||||||||||||||||
| 治療方針 | |||||||||||||||||||||||||||||||||
| 治療内容 | オールセラミッククラウン2本(オールセラミック用土台2本) | ||||||||||||||||||||||||||||||||
| 治療部位 |
|
||||||||||||||||||||||||||||||||
| 総治療費 | 301,875円 | ||||||||||||||||||||||||||||||||
| 治療期間 | 4ヶ月 |
副作用・リスク
セラミック治療の副作用・リスクについて
インプラント埋め込み施術は外科治療のため、腫れる可能性があります。また、細菌感染すると施術のやり直しになる場合がありますが、当院では洗浄・滅菌を徹底して感染リスクを抑えます。インプラント周囲炎にならないよう、丁寧な歯磨きが必要です。







