KCC
吉祥寺セントラルクリニック
0120-203-640
KCC
三鷹公園通り歯科・小児歯科
0120-970-967

インプラントの症例写真 IMPLANT

骨再生スピードインプラント治療+セラミック治療

カテゴリー 【インプラント治療】【セラミック治療】
性別/年齢 女性 / 42歳
主訴 ブリッジが外れ、セラミックが割れて見た目が気になります。一年前に他の歯科医院に相談に行きましたが、インプラント治療は難しいと言われました。もともとその部分はインプラントでの治療を希望していたので、この機会に治したい。
治療方針 右上の骨がほとんど無いため、サイナスリフト法に再生療法を組み合わせ上顎洞底部を挙上することにより、骨の無い部分に骨をつくってあげ、インプラント治療を可能にする。
治療内容 インプラント5本(抜歯即日スピードインプラント+サイナスリフト+GBR+クラウンレングスニング)、ハイブリッドセラミック8本
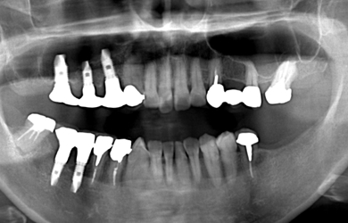
治療部位
6 5 4 3
7 6 5 4
総治療費 2,426,400円
治療期間 9.5ヶ月

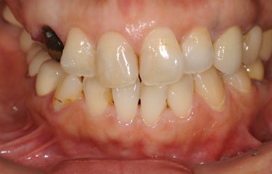
治療前

  • 治療前
  • 治療前
  • 治療前

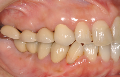
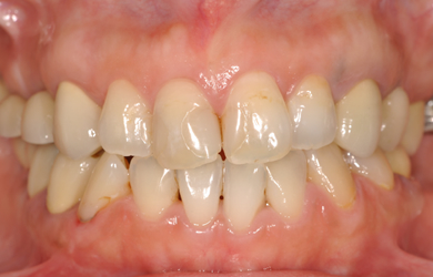
治療後

  • 治療後
  • 治療後
  • 治療後

副作用・リスク

インプラント治療の副作用・リスクについて

インプラント埋め込み施術は外科治療のため、腫れる可能性があります。細菌感染すると施術のやり直しになりますが、当院では洗浄・滅菌を徹底して感染リスクを抑えます。また、インプラント周囲炎にならないために、通常の歯と同じように丁寧なブラッシングや定期メンテナンスが重要となります。

セラミック治療の副作用・リスクについて

インプラント埋め込み施術は外科治療のため、腫れる可能性があります。また、細菌感染すると施術のやり直しになる場合がありますが、当院では洗浄・滅菌を徹底して感染リスクを抑えます。インプラント周囲炎にならないよう、丁寧な歯磨きが必要です。