インプラントの症例写真 IMPLANT
骨再生インプラント治療+セラミック治療
| カテゴリー | 【インプラント治療】【セラミック治療】 | ||||||||||||||||||||||||||||||||
|---|---|---|---|---|---|---|---|---|---|---|---|---|---|---|---|---|---|---|---|---|---|---|---|---|---|---|---|---|---|---|---|---|---|
| 性別/年齢 | 男性 / 50歳 | ||||||||||||||||||||||||||||||||
| 主訴 | 現在ムシ歯になっている箇所と、痛みのある部分の治療をセラミックで行って欲しい。 | ||||||||||||||||||||||||||||||||
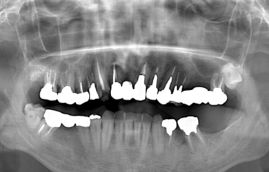
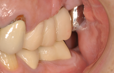
| 治療方針 | ソケットリフト法により上顎洞底部を挙上することにより、骨の無い部分に骨をつくってあげ、インプラント治療を可能にする。 | ||||||||||||||||||||||||||||||||
| 治療内容 | インプラント2本(ソケットリフト)、メタルボンドセラミック5本、ハイブリッドセラミック2本 | ||||||||||||||||||||||||||||||||
| 治療部位 |
|
||||||||||||||||||||||||||||||||
| 総治療費 | 1,355,300円 | ||||||||||||||||||||||||||||||||
| 治療期間 | 海外から9ヶ月 |
副作用・リスク
インプラント治療の副作用・リスクについて
インプラント埋め込み施術は外科治療のため、腫れる可能性があります。細菌感染すると施術のやり直しになりますが、当院では洗浄・滅菌を徹底して感染リスクを抑えます。また、インプラント周囲炎にならないために、通常の歯と同じように丁寧なブラッシングや定期メンテナンスが重要となります。
セラミック治療の副作用・リスクについて
インプラント埋め込み施術は外科治療のため、腫れる可能性があります。また、細菌感染すると施術のやり直しになる場合がありますが、当院では洗浄・滅菌を徹底して感染リスクを抑えます。インプラント周囲炎にならないよう、丁寧な歯磨きが必要です。




