インプラントの症例写真 IMPLANT
骨再生インプラント治療+セラミック治療
| カテゴリー | 【インプラント治療】【セラミック治療】 | ||||||||||||||||||||||||||||||||
|---|---|---|---|---|---|---|---|---|---|---|---|---|---|---|---|---|---|---|---|---|---|---|---|---|---|---|---|---|---|---|---|---|---|
| 性別/年齢 | 女性 / 33歳 | ||||||||||||||||||||||||||||||||
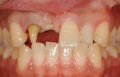
| 主訴 | 右上1番目の前歯を1週間位前に他の歯科医院で抜きました。右上2番目の前歯も高校生の時に神経を抜き被せものをしました。ブリッジにするかインプラントにするか迷っています。 | ||||||||||||||||||||||||||||||||
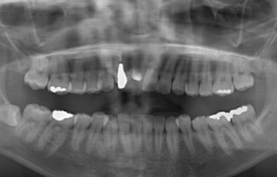
| 治療方針 | 抜歯した部分の骨が薄いため、そのままではインプラントを埋入出来ないため、GBR法と併用して、自分の骨を薄い部分に移植し、骨のボリュームを確保し、且つインプラント手術を同時に行うことにより、患者様にかかる外科的負担を軽減、治療期間を短縮する。 |
||||||||||||||||||||||||||||||||
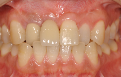
| 治療内容 | インプラント1本(GBR+自家骨移植)、メタルボンドセラミック2本 | ||||||||||||||||||||||||||||||||
| 治療部位 |
|
||||||||||||||||||||||||||||||||
| 総治療費 | 604,900円 | ||||||||||||||||||||||||||||||||
| 治療期間 | 6ヶ月 |
副作用・リスク
インプラント治療の副作用・リスクについて
インプラント埋め込み施術は外科治療のため、腫れる可能性があります。細菌感染すると施術のやり直しになりますが、当院では洗浄・滅菌を徹底して感染リスクを抑えます。また、インプラント周囲炎にならないために、通常の歯と同じように丁寧なブラッシングや定期メンテナンスが重要となります。
セラミック治療の副作用・リスクについて
インプラント埋め込み施術は外科治療のため、腫れる可能性があります。また、細菌感染すると施術のやり直しになる場合がありますが、当院では洗浄・滅菌を徹底して感染リスクを抑えます。インプラント周囲炎にならないよう、丁寧な歯磨きが必要です。




