KCC
吉祥寺セントラルクリニック
0120-203-640
KCC
三鷹公園通り歯科・小児歯科
0120-970-967

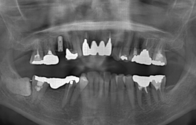
インプラントの症例写真 IMPLANT

インプラント

カテゴリー 【インプラント治療】【セラミック治療】
性別/年齢 女性 / 57歳
主訴 さし歯がグラグラしている。
治療方針 ブリッジの支えとなっている歯の寿命を延ばすため、ブリッジの部分を切断し、インプラント治療を施す。
治療内容 インプラント1本、ハイブリッドセラミック1本、ジルコニアオールセラミック8本
治療部位
6 4 3 2 1 1 2 3 4
総治療費 1,644,700円
治療期間 5ヶ月

治療前

  • 治療前
  • 治療前
  • 治療前

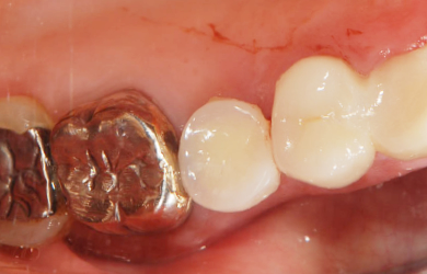
治療後

  • 治療後
  • 治療後
  • 治療後

副作用・リスク

インプラント治療の副作用・リスクについて

インプラント埋め込み施術は外科治療のため、腫れる可能性があります。細菌感染すると施術のやり直しになりますが、当院では洗浄・滅菌を徹底して感染リスクを抑えます。また、インプラント周囲炎にならないために、通常の歯と同じように丁寧なブラッシングや定期メンテナンスが重要となります。

セラミック治療の副作用・リスクについて

インプラント埋め込み施術は外科治療のため、腫れる可能性があります。また、細菌感染すると施術のやり直しになる場合がありますが、当院では洗浄・滅菌を徹底して感染リスクを抑えます。インプラント周囲炎にならないよう、丁寧な歯磨きが必要です。