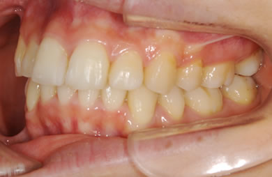
セラミックの症例写真 SHINBI
全顎矯正治療+セラミック治療
| カテゴリー | 【矯正治療】【セラミック治療】 | ||||||||||||||||||||||||||||||||
|---|---|---|---|---|---|---|---|---|---|---|---|---|---|---|---|---|---|---|---|---|---|---|---|---|---|---|---|---|---|---|---|---|---|
| 性別/年齢 | 女性 / 26歳 | ||||||||||||||||||||||||||||||||
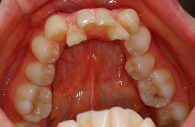
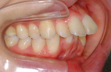
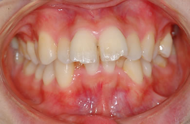
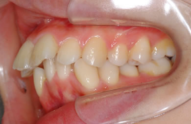
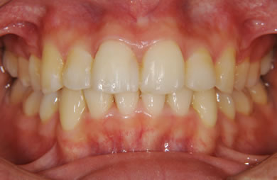
| 主訴 | 上下乱ぐい歯と出っ歯を治したい。 | ||||||||||||||||||||||||||||||||
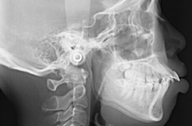
| 治療方針 | 口元が出ていていること、がたつきが大きいことより、上下左右の第一小臼歯および親知らずを抜歯し、マルチブラケット治療を行う。抜歯した隙間を活用できるよう上顎にはインプラントアンカー(釘)を使用し、その釘より歯を後ろに移動する。 | ||||||||||||||||||||||||||||||||
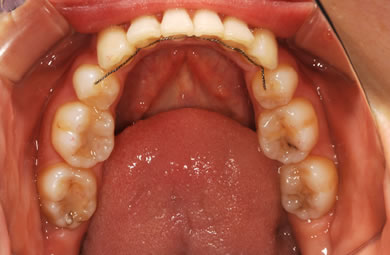
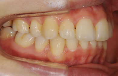
| 治療内容 | 唇側矯正(シルバー)、矯正用スピードインプラント、ハイブリッドセラミックインレー2本 | ||||||||||||||||||||||||||||||||
| 治療部位 |
|
||||||||||||||||||||||||||||||||
| 総治療費 | 802,700円 | ||||||||||||||||||||||||||||||||
| 治療期間 | 2年3ヶ月 |
副作用・リスク
矯正治療の副作用・リスクについて
わずかですが歯の動く痛みを感じる場合があります。矯正装置周辺が虫歯や歯肉炎にならないよう、丁寧な歯磨きが必要です。
セラミック治療の副作用・リスクについて
インプラント埋め込み施術は外科治療のため、腫れる可能性があります。また、細菌感染すると施術のやり直しになる場合がありますが、当院では洗浄・滅菌を徹底して感染リスクを抑えます。インプラント周囲炎にならないよう、丁寧な歯磨きが必要です。












