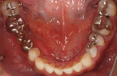
セラミックの症例写真 SHINBI
セラミック治療
| カテゴリー | 【セラミック治療】 | ||||||||||||||||||||||||||||||||
|---|---|---|---|---|---|---|---|---|---|---|---|---|---|---|---|---|---|---|---|---|---|---|---|---|---|---|---|---|---|---|---|---|---|
| 性別/年齢 | 男性 / 40歳 | ||||||||||||||||||||||||||||||||
| 主訴 | 虫歯を治療し、銀歯を含めた歯を白くしたい。 | ||||||||||||||||||||||||||||||||
| 治療方針 | 審美的・機能的回復をセラミック治療にて行う。 | ||||||||||||||||||||||||||||||||
| 治療内容 | メタルボンドセラミック4本(メタルボンドセラミック用の土台4本)、ハイブリッドセラミック6本(ハイブリッドセラミック用の土台1本) | ||||||||||||||||||||||||||||||||
| 治療部位 |
|
||||||||||||||||||||||||||||||||
| 総治療費 | 887,067円 | ||||||||||||||||||||||||||||||||
| 治療期間 | 7ヶ月 |
副作用・リスク
セラミック治療の副作用・リスクについて
インプラント埋め込み施術は外科治療のため、腫れる可能性があります。また、細菌感染すると施術のやり直しになる場合がありますが、当院では洗浄・滅菌を徹底して感染リスクを抑えます。インプラント周囲炎にならないよう、丁寧な歯磨きが必要です。






