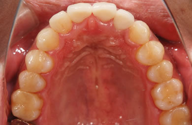
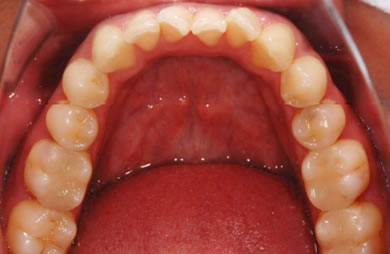
セラミックの症例写真 SHINBI
セラミック治療
| カテゴリー | 【セラミック治療】 | ||||||||||||||||||||||||||||||||
|---|---|---|---|---|---|---|---|---|---|---|---|---|---|---|---|---|---|---|---|---|---|---|---|---|---|---|---|---|---|---|---|---|---|
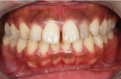
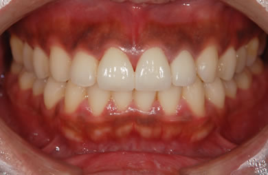
| 性別/年齢 | 男性 / 29歳 | ||||||||||||||||||||||||||||||||
| 主訴 | 歯並びを綺麗にしたい。奥歯の銀歯が目立つので白くしたい。 | ||||||||||||||||||||||||||||||||
| 治療方針 | 上の前歯部に関しては審美的回復の優先を切望されているため、透明感のあるオールセラミックのハイクオリティタイプを使用。 | ||||||||||||||||||||||||||||||||
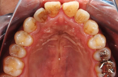
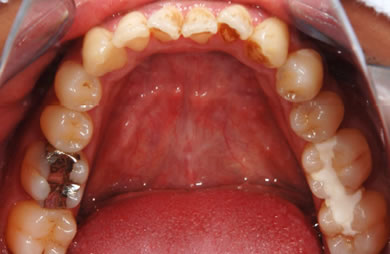
| 治療内容 | オールセラミック(ハイクオリティ)3本、ハイブリッドセラミックインレー10本 | ||||||||||||||||||||||||||||||||
| 治療部位 |
|
||||||||||||||||||||||||||||||||
| 総治療費 | 714,286円 | ||||||||||||||||||||||||||||||||
| 治療期間 | 7ヶ月 |
副作用・リスク
セラミック治療の副作用・リスクについて
インプラント埋め込み施術は外科治療のため、腫れる可能性があります。また、細菌感染すると施術のやり直しになる場合がありますが、当院では洗浄・滅菌を徹底して感染リスクを抑えます。インプラント周囲炎にならないよう、丁寧な歯磨きが必要です。






