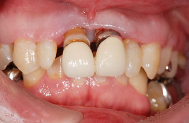
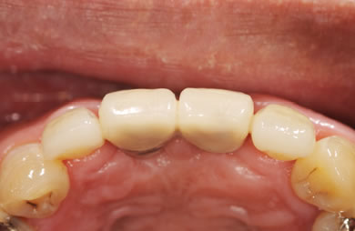
インプラントの症例写真 IMPLANT
骨再生スピードインプラント治療+セラミック治療
| カテゴリー | 【インプラント治療】【セラミック治療】 | ||||||||||||||||||||||||||||||||
|---|---|---|---|---|---|---|---|---|---|---|---|---|---|---|---|---|---|---|---|---|---|---|---|---|---|---|---|---|---|---|---|---|---|
| 性別/年齢 | 男性 / 47歳 | ||||||||||||||||||||||||||||||||
| 主訴 | 上の前歯が6ヶ月程前からぐらつき出した。 | ||||||||||||||||||||||||||||||||
| 治療方針 | 審美的・機能的回復をなるべく早くはかる為、抜歯と同時にインプラント治療を行う。また、奥歯に関しては歯周病が進行しているものの、歯の保存が可能な状態である為、エムドゲインを使用し、組織再生をはかる。 | ||||||||||||||||||||||||||||||||
| 治療内容 | インプラント3本(抜歯即日スピードインプラント+GBR)、ハイブリッドセラミック4本、オールセラミックラミネートベニア2本、エムゲドイン組織再生療法 | ||||||||||||||||||||||||||||||||
| 治療部位 |
|
||||||||||||||||||||||||||||||||
| 総治療費 | 1,876,580円 | ||||||||||||||||||||||||||||||||
| 治療期間 | 1年5ヶ月 |
副作用・リスク
インプラント治療の副作用・リスクについて
インプラント埋め込み施術は外科治療のため、腫れる可能性があります。細菌感染すると施術のやり直しになりますが、当院では洗浄・滅菌を徹底して感染リスクを抑えます。また、インプラント周囲炎にならないために、通常の歯と同じように丁寧なブラッシングや定期メンテナンスが重要となります。
セラミック治療の副作用・リスクについて
インプラント埋め込み施術は外科治療のため、腫れる可能性があります。また、細菌感染すると施術のやり直しになる場合がありますが、当院では洗浄・滅菌を徹底して感染リスクを抑えます。インプラント周囲炎にならないよう、丁寧な歯磨きが必要です。






