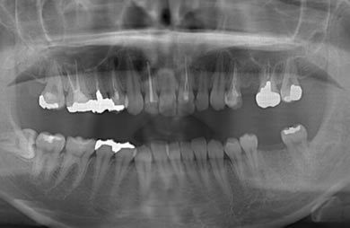
インプラントの症例写真 IMPLANT
骨再生インプラント治療+セラミック治療
| カテゴリー | 【インプラント治療】【セラミック治療】 | ||||||||||||||||||||||||||||||||
|---|---|---|---|---|---|---|---|---|---|---|---|---|---|---|---|---|---|---|---|---|---|---|---|---|---|---|---|---|---|---|---|---|---|
| 性別/年齢 | 女性 / 27歳 | ||||||||||||||||||||||||||||||||
| 主訴 | 虫歯の治療をして欲しい。 | ||||||||||||||||||||||||||||||||
| 治療方針 | 左側の奥歯の部分の歯が欠如しているのでインプラント治療にて機能的・審美的回復を行いつつ、その他の虫歯の部分はセラミック歯にて治療を行う。 | ||||||||||||||||||||||||||||||||
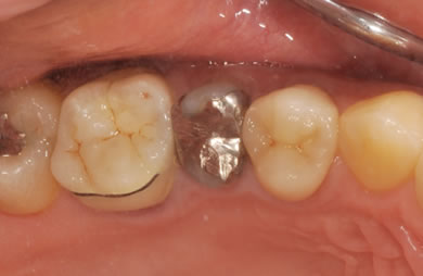
| 治療内容 | インプラント2本(ソケットリフト)、ハイブリッドセラミック2本、オールセラミック3本(オールセラミック用の土台3本)、メタルボンドセラミック2本(メタルボンドセラミック用の土台1本) | ||||||||||||||||||||||||||||||||
| 治療部位 |
|
||||||||||||||||||||||||||||||||
| 総治療費 | 1,662,900円 | ||||||||||||||||||||||||||||||||
| 治療期間 | 1年7ヶ月 |
副作用・リスク
インプラント治療の副作用・リスクについて
インプラント埋め込み施術は外科治療のため、腫れる可能性があります。細菌感染すると施術のやり直しになりますが、当院では洗浄・滅菌を徹底して感染リスクを抑えます。また、インプラント周囲炎にならないために、通常の歯と同じように丁寧なブラッシングや定期メンテナンスが重要となります。
セラミック治療の副作用・リスクについて
インプラント埋め込み施術は外科治療のため、腫れる可能性があります。また、細菌感染すると施術のやり直しになる場合がありますが、当院では洗浄・滅菌を徹底して感染リスクを抑えます。インプラント周囲炎にならないよう、丁寧な歯磨きが必要です。






