KCC
吉祥寺セントラルクリニック
0120-203-640
KCC
三鷹公園通り歯科・小児歯科
0120-970-967

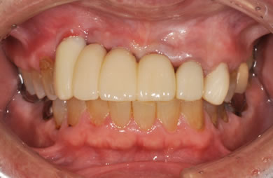
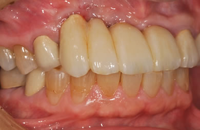
インプラントの症例写真 IMPLANT

骨再生スピードインプラント治療+セラミック治療

カテゴリー 【インプラント治療】【セラミック治療】
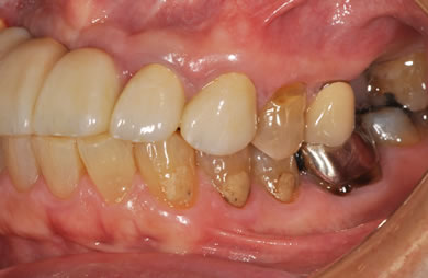
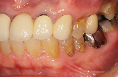
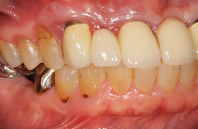
性別/年齢 男性 / 63歳
主訴 前の差し歯がぐらつくようになり、差し歯の根元が割れているような感覚がある。治療内容を相談したく来院。
治療方針 ソケットリフト法に再生療法を併用しつつ、スピードインプラントにより治療期間を軽減し、機能的・審美的回復を行う。
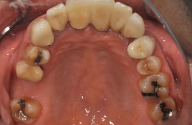
治療内容 インプラント4本(抜歯即日スピードインプラント+ソケットリフト)、メタルボンドセラミック6本、ハイブリッドセラミック1本、テンポラリーインプラント2本
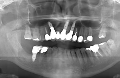
治療部位
4 3 2 1 1 2 3
6 5
総治療費 2,244,830円
治療期間 10ヶ月

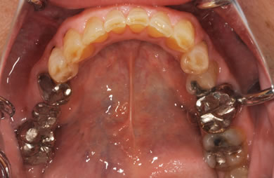
治療前

  • 治療前
  • 治療前
  • 治療前
  • 治療前
  • 治療前
  • 治療前

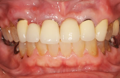
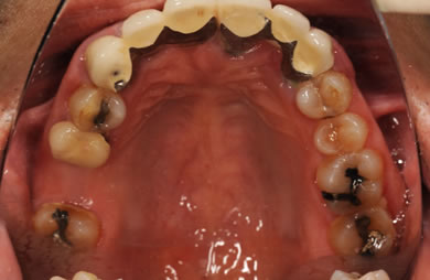
治療後

  • 治療後
  • 治療後
  • 治療後
  • 治療後
  • 治療後
  • 治療後

副作用・リスク

インプラント治療の副作用・リスクについて

インプラント埋め込み施術は外科治療のため、腫れる可能性があります。細菌感染すると施術のやり直しになりますが、当院では洗浄・滅菌を徹底して感染リスクを抑えます。また、インプラント周囲炎にならないために、通常の歯と同じように丁寧なブラッシングや定期メンテナンスが重要となります。

セラミック治療の副作用・リスクについて

インプラント埋め込み施術は外科治療のため、腫れる可能性があります。また、細菌感染すると施術のやり直しになる場合がありますが、当院では洗浄・滅菌を徹底して感染リスクを抑えます。インプラント周囲炎にならないよう、丁寧な歯磨きが必要です。