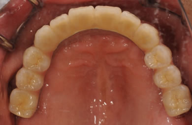
インプラントの症例写真 IMPLANT
骨再生スピードインプラント治療+AGC連結セラミック治療+セラミック治療
| カテゴリー | 【インプラント治療】【セラミック治療】 | ||||||||||||||||||||||||||||||||
|---|---|---|---|---|---|---|---|---|---|---|---|---|---|---|---|---|---|---|---|---|---|---|---|---|---|---|---|---|---|---|---|---|---|
| 性別/年齢 | 男性 / 61歳 | ||||||||||||||||||||||||||||||||
| 主訴 | 歯周病の治療およびインプラント治療や義歯治療について相談したい。 | ||||||||||||||||||||||||||||||||
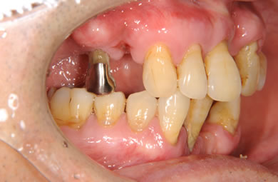
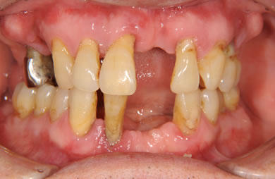
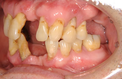
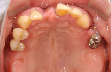
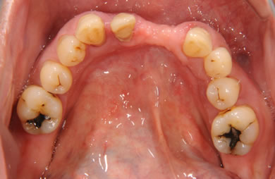
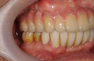
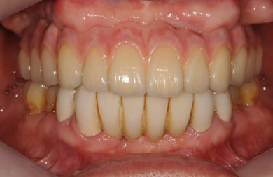
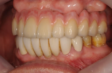
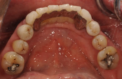
| 治療方針 | ソケットリフト法により上顎洞底部を拳上することにより、骨の無い部分に骨をつくってあげ、インプラント治療を可能にする。さらに歯周病により組織の破壊が著しいので、AGC連結セラミック治療により上顎の審美的回復を行う。 | ||||||||||||||||||||||||||||||||
| 治療内容 | インプラント7本(抜歯AGC即日スピードインプラント+ソケットリフト)、AGCハイブリッドセラミック連結ブリッジ1装置(上顎)ハイブリッドセラミック8本 | ||||||||||||||||||||||||||||||||
| 治療部位 |
|
||||||||||||||||||||||||||||||||
| 総治療費 | 3,964,200円 | ||||||||||||||||||||||||||||||||
| 治療期間 | 1年1ヶ月 |
副作用・リスク
インプラント治療の副作用・リスクについて
インプラント埋め込み施術は外科治療のため、腫れる可能性があります。細菌感染すると施術のやり直しになりますが、当院では洗浄・滅菌を徹底して感染リスクを抑えます。また、インプラント周囲炎にならないために、通常の歯と同じように丁寧なブラッシングや定期メンテナンスが重要となります。
セラミック治療の副作用・リスクについて
インプラント埋め込み施術は外科治療のため、腫れる可能性があります。また、細菌感染すると施術のやり直しになる場合がありますが、当院では洗浄・滅菌を徹底して感染リスクを抑えます。インプラント周囲炎にならないよう、丁寧な歯磨きが必要です。












