矯正の症例写真 ORTHODONT
全顎矯正治療
| カテゴリー | 【矯正治療】 | ||||||||||||||||||||||||||||||||
|---|---|---|---|---|---|---|---|---|---|---|---|---|---|---|---|---|---|---|---|---|---|---|---|---|---|---|---|---|---|---|---|---|---|
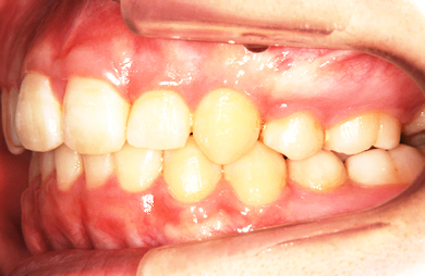
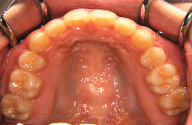
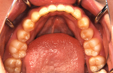
| 性別/年齢 | 女性 / 25歳 | ||||||||||||||||||||||||||||||||
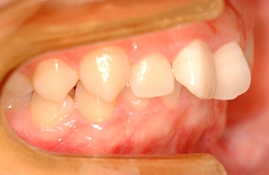
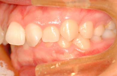
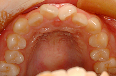
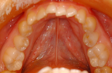
| 主訴 | 出っ歯と歯並びを治したい。 | ||||||||||||||||||||||||||||||||
| 治療方針 | 上顎の過成長が原因で上下の奥歯が1本分ずれがあり出っ歯の状態のため、上下の顎のずれ、がたつきを解消するため、左右の上顎第一小臼歯を計2本抜歯し、マルチブラケット装置にて治療を行う。 | ||||||||||||||||||||||||||||||||
| 治療内容 | 唇側矯正(ホワイト) | ||||||||||||||||||||||||||||||||
| 治療部位 |
|
||||||||||||||||||||||||||||||||
| 総治療費 | 663,000円 | ||||||||||||||||||||||||||||||||
| 治療期間 | 1年5ヶ月 |
副作用・リスク
矯正治療の副作用・リスクについて
わずかですが歯の動く痛みを感じる場合があります。矯正装置周辺が虫歯や歯肉炎にならないよう、丁寧な歯磨きが必要です。












