矯正の症例写真 ORTHODONT
全顎矯正治療
| カテゴリー | 【矯正治療】 | ||||||||||||||||||||||||||||||||
|---|---|---|---|---|---|---|---|---|---|---|---|---|---|---|---|---|---|---|---|---|---|---|---|---|---|---|---|---|---|---|---|---|---|
| 性別/年齢 | 男性 / 24歳 | ||||||||||||||||||||||||||||||||
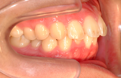
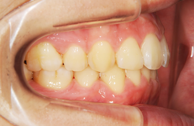
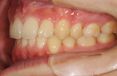
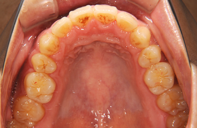
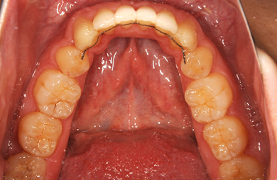
| 主訴 | 乱ぐい歯を治したい。 | ||||||||||||||||||||||||||||||||
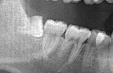
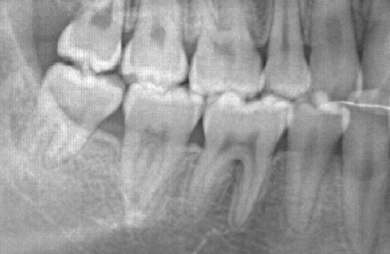
| 治療方針 | 歯のがたつきが大きいことより上下左右第一小臼歯を抜歯して、マルチブラケット装置にて治療。また、親不知がまっすぐ生えることができず横を向いている状態なので、まっすぐにする隙間があることから親不知も使用し、矯正を行う。 | ||||||||||||||||||||||||||||||||
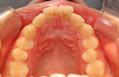
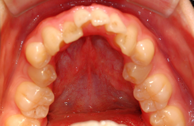
| 治療内容 | 唇側矯正(ホワイト) | ||||||||||||||||||||||||||||||||
| 治療部位 |
|
||||||||||||||||||||||||||||||||
| 総治療費 | 663,810円 | ||||||||||||||||||||||||||||||||
| 治療期間 | 2ヶ月 |
副作用・リスク
矯正治療の副作用・リスクについて
わずかですが歯の動く痛みを感じる場合があります。矯正装置周辺が虫歯や歯肉炎にならないよう、丁寧な歯磨きが必要です。












