矯正の症例写真 ORTHODONT
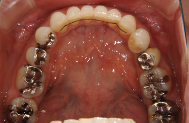
全顎矯正治療
| カテゴリー | 【矯正治療】 | ||||||||||||||||||||||||||||||||
|---|---|---|---|---|---|---|---|---|---|---|---|---|---|---|---|---|---|---|---|---|---|---|---|---|---|---|---|---|---|---|---|---|---|
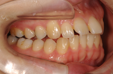
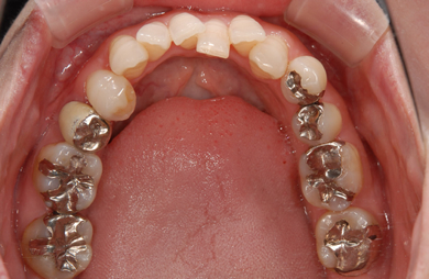
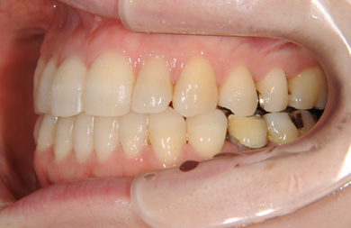
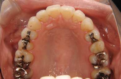
| 性別/年齢 | 女性 / 31歳 | ||||||||||||||||||||||||||||||||
| 主訴 | 歯並びを綺麗にしたい。 | ||||||||||||||||||||||||||||||||
| 治療方針 | 口元がきれいなので、なるべく横顔を変えないように歯を抜かずに治療を行う。しかし、下顎がだいぶ前に出ていて、上下の顎の前後的な位置のずれが大きいため、下顎にはインプラントアンカーを用いて、下の歯を本来の位置まで後ろに引っ張って治す。 | ||||||||||||||||||||||||||||||||
| 治療内容 | 唇側矯正(シルバー)、保定装置、矯正用スピードインプラント2本 | ||||||||||||||||||||||||||||||||
| 治療部位 |
|
||||||||||||||||||||||||||||||||
| 総治療費 | 634,000円 | ||||||||||||||||||||||||||||||||
| 治療期間 | 1年5ヶ月 |
副作用・リスク
矯正治療の副作用・リスクについて
わずかですが歯の動く痛みを感じる場合があります。矯正装置周辺が虫歯や歯肉炎にならないよう、丁寧な歯磨きが必要です。












