矯正の症例写真 ORTHODONT
全顎矯正治療
| カテゴリー | 【矯正治療】 | ||||||||||||||||||||||||||||||||
|---|---|---|---|---|---|---|---|---|---|---|---|---|---|---|---|---|---|---|---|---|---|---|---|---|---|---|---|---|---|---|---|---|---|
| 性別/年齢 | 女性 / 19歳 | ||||||||||||||||||||||||||||||||
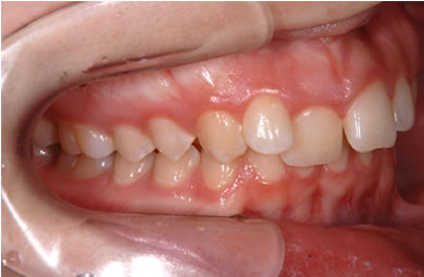
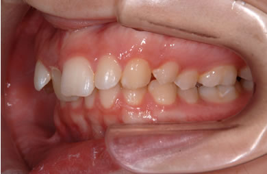
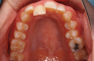
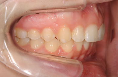
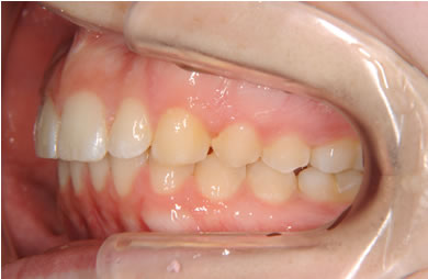
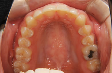
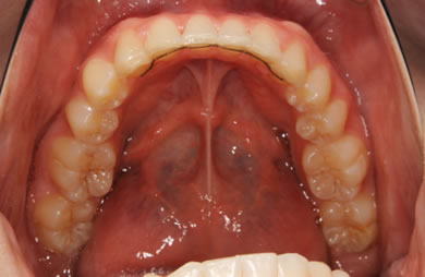
| 主訴 | 上のデコボコの歯を綺麗にしたい。 | ||||||||||||||||||||||||||||||||
| 治療方針 | 上顎の歯の傾斜を正常に治す事で下顎を正常な位置に推進させ、非抜歯にて治療を行う。また、上下の顎のずれの治療のため、装置にゴムを使用し審美的・機能的に良い咬合を獲得させる。 | ||||||||||||||||||||||||||||||||
| 治療内容 | 唇側矯正(シルバー) | ||||||||||||||||||||||||||||||||
| 治療部位 |
|
||||||||||||||||||||||||||||||||
| 総治療費 | 659,300円 | ||||||||||||||||||||||||||||||||
| 治療期間 | 1年9ヶ月 |
副作用・リスク
矯正治療の副作用・リスクについて
わずかですが歯の動く痛みを感じる場合があります。矯正装置周辺が虫歯や歯肉炎にならないよう、丁寧な歯磨きが必要です。












