矯正の症例写真 ORTHODONT
全顎矯正治療
| カテゴリー | 【矯正治療】 | ||||||||||||||||||||||||||||||||
|---|---|---|---|---|---|---|---|---|---|---|---|---|---|---|---|---|---|---|---|---|---|---|---|---|---|---|---|---|---|---|---|---|---|
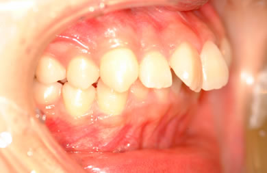
| 性別/年齢 | 女性 / 22歳 | ||||||||||||||||||||||||||||||||
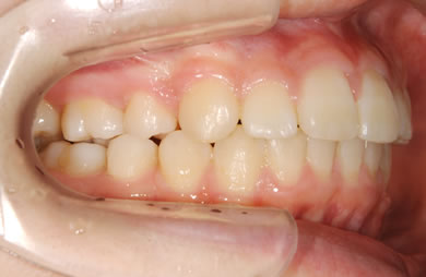
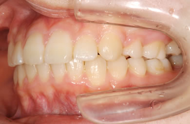
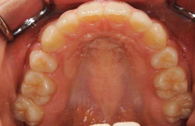
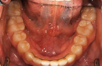
| 主訴 | 上顎前突の為、来院。 | ||||||||||||||||||||||||||||||||
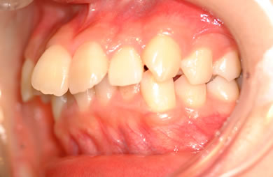
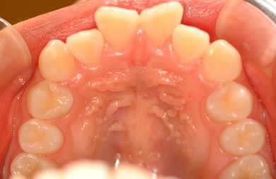
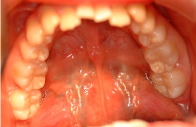
| 治療方針 | 上顎の成長が原因で上下の奥歯が1本分ずれているため、出っ歯の状態でした。上下の顎のずれ、がたつきを解消するため、左右の上顎第一小臼歯を計2本抜歯し、マルチブラケット装置にて治療しました。最終的に、きれいな横顔と咬合になりました。 | ||||||||||||||||||||||||||||||||
| 治療内容 | 唇側矯正(ホワイト)、唇側矯正(シルバー) | ||||||||||||||||||||||||||||||||
| 治療部位 |
|
||||||||||||||||||||||||||||||||
| 総治療費 | 1,159,048円 | ||||||||||||||||||||||||||||||||
| 治療期間 | 1年8ヶ月 |
副作用・リスク
矯正治療の副作用・リスクについて
わずかですが歯の動く痛みを感じる場合があります。矯正装置周辺が虫歯や歯肉炎にならないよう、丁寧な歯磨きが必要です。












