矯正の症例写真 ORTHODONT
全顎矯正治療
| カテゴリー | 【矯正治療】 | ||||||||||||||||||||||||||||||||
|---|---|---|---|---|---|---|---|---|---|---|---|---|---|---|---|---|---|---|---|---|---|---|---|---|---|---|---|---|---|---|---|---|---|
| 性別/年齢 | 女性 / 24歳 | ||||||||||||||||||||||||||||||||
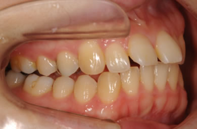
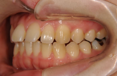
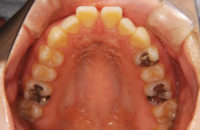
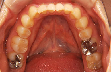
| 主訴 | 矯正治療を希望し治療方針を相談する為、来院。 | ||||||||||||||||||||||||||||||||
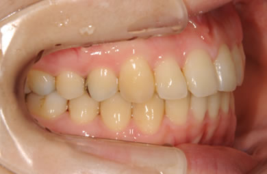
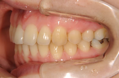
| 治療方針 | 舌が横にはみでて、上下の歯が全く咬んでいない状態です。口元はきれいなので、歯は抜かずに歯列を少し横に広げて並べます。ゴムを使用したり、舌を訓練したりとても協力が必要な症例です。 | ||||||||||||||||||||||||||||||||
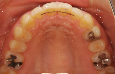
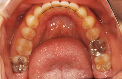
| 治療内容 | 唇側矯正(ホワイト)、保定装置 | ||||||||||||||||||||||||||||||||
| 治療部位 |
|
||||||||||||||||||||||||||||||||
| 総治療費 | 721,000円 | ||||||||||||||||||||||||||||||||
| 治療期間 | 9ヶ月 |
副作用・リスク
矯正治療の副作用・リスクについて
わずかですが歯の動く痛みを感じる場合があります。矯正装置周辺が虫歯や歯肉炎にならないよう、丁寧な歯磨きが必要です。












