矯正の症例写真 ORTHODONT
全顎矯正治療
| カテゴリー | 【矯正治療】 | ||||||||||||||||||||||||||||||||
|---|---|---|---|---|---|---|---|---|---|---|---|---|---|---|---|---|---|---|---|---|---|---|---|---|---|---|---|---|---|---|---|---|---|
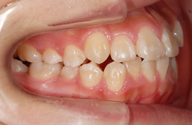
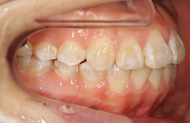
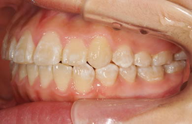
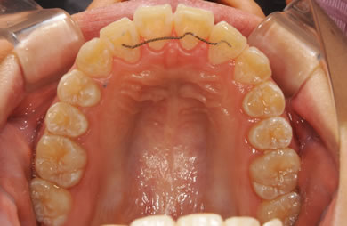
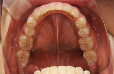
| 性別/年齢 | 女性 / 12歳 | ||||||||||||||||||||||||||||||||
| 主訴 | 乱ぐい歯の為を綺麗にしたい。 | ||||||||||||||||||||||||||||||||
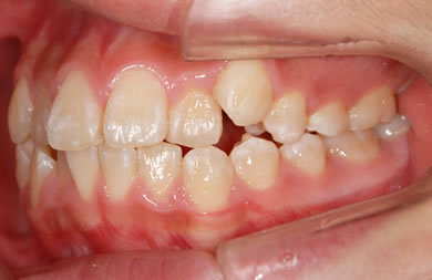
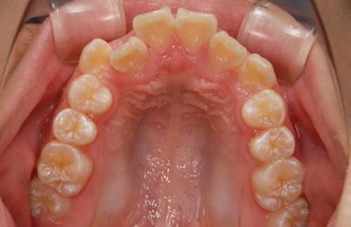
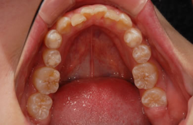
| 治療方針 | 顎が小さく大分ガタつきがありましたが、口元が出てないこと、年齢も若いことより非抜歯にてマルチブラケット治療を行いました。若干、上下の顎の左右のずれがあり、針金の調整に苦労しましたが、上下の装置にゴムを使用するなどしました。 | ||||||||||||||||||||||||||||||||
| 治療内容 | 唇側矯正(シルバー)、保定装置 | ||||||||||||||||||||||||||||||||
| 治療部位 |
|
||||||||||||||||||||||||||||||||
| 総治療費 | 694,000円 | ||||||||||||||||||||||||||||||||
| 治療期間 | 1年6ヶ月 |
副作用・リスク
矯正治療の副作用・リスクについて
わずかですが歯の動く痛みを感じる場合があります。矯正装置周辺が虫歯や歯肉炎にならないよう、丁寧な歯磨きが必要です。












