インプラントの症例写真 IMPLANT
全顎矯正治療+インプラント治療
| カテゴリー | 【インプラント治療】【矯正治療】 | ||||||||||||||||||||||||||||||||
|---|---|---|---|---|---|---|---|---|---|---|---|---|---|---|---|---|---|---|---|---|---|---|---|---|---|---|---|---|---|---|---|---|---|
| 性別/年齢 | 女性 / 22歳 | ||||||||||||||||||||||||||||||||
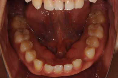
| 主訴 | 前歯の隙間 | ||||||||||||||||||||||||||||||||
| 治療方針 | 舌が前に出てしまったり、左下の糸切り歯が一本足りないことで、上下の歯に隙間がある状態です。口元はきれいなので、非抜歯にて治療を開始しました。顎のずれがあるので、上下にゴムを使用しながら、また舌の練習をしながら治療しました。左下の欠損部にはデンタルインプラントで補綴し咬合させました。保定装置は隙間が出ないように上下とも裏から針金を装着しています。非抜歯治療で治療期間が1年半と予想していましたが、舌の癖があまり改善されなく、2年と治療期間が延びてしまいました。今後も舌が出ないように気を付けていただきます。保定装置の使用も初診時に説明し、診断時の治療計画にも記載していましたが、きちんと理解されていなかったようで、除去後保定装置の使用にショックを受けさせてしまいました。今後また改善していきたいと思います。頑張って咬合の維持をしていきましょう。 | ||||||||||||||||||||||||||||||||
| 治療内容 | 唇側矯正(ホワイト・非抜歯)、インプラント1本、メタルボンドセラミック1本 | ||||||||||||||||||||||||||||||||
| 治療部位 |
|
||||||||||||||||||||||||||||||||
| 総治療費 | 1,061,305円 | ||||||||||||||||||||||||||||||||
| 治療期間 | 2年0ヶ月 |
副作用・リスク
矯正治療の副作用・リスクについて
わずかですが歯の動く痛みを感じる場合があります。矯正装置周辺が虫歯や歯肉炎にならないよう、丁寧な歯磨きが必要です。
インプラント治療の副作用・リスクについて
インプラント埋め込み施術は外科治療のため、腫れる可能性があります。細菌感染すると施術のやり直しになりますが、当院では洗浄・滅菌を徹底して感染リスクを抑えます。また、インプラント周囲炎にならないために、通常の歯と同じように丁寧なブラッシングや定期メンテナンスが重要となります。












