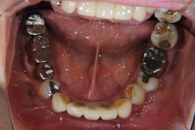
インプラントの症例写真 IMPLANT
部分矯正治療+骨再生インプラント治療
| カテゴリー | 【インプラント治療】【矯正治療】 | ||||||||||||||||||||||||||||||||
|---|---|---|---|---|---|---|---|---|---|---|---|---|---|---|---|---|---|---|---|---|---|---|---|---|---|---|---|---|---|---|---|---|---|
| 性別/年齢 | 女性 / 52歳 | ||||||||||||||||||||||||||||||||
| 主訴 | 上前歯の歯並びが気になる | ||||||||||||||||||||||||||||||||
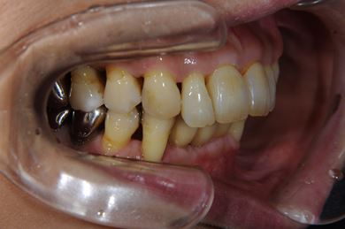
| 治療方針 | 全体的に骨が薄く、なるべく歯に負担を立てない治療計画にしました。口元も下げたいため、歯を少し細く削り後ろにさげました。部分矯正後、下顎のインプラントも併用しています。 | ||||||||||||||||||||||||||||||||
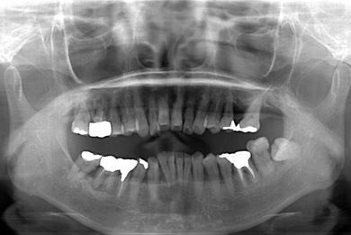
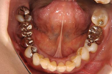
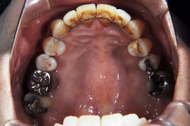
| 治療内容 | 部分矯正(唇側矯正ホワイト)、インプラント2本(GBR)、メタルボンドセラミッククラウン3本 | ||||||||||||||||||||||||||||||||
| 治療部位 |
|
||||||||||||||||||||||||||||||||
| 総治療費 | 1,573,951円 | ||||||||||||||||||||||||||||||||
| 治療期間 | 11ヶ月 |
副作用・リスク
矯正治療の副作用・リスクについて
わずかですが歯の動く痛みを感じる場合があります。矯正装置周辺が虫歯や歯肉炎にならないよう、丁寧な歯磨きが必要です。
インプラント治療の副作用・リスクについて
インプラント埋め込み施術は外科治療のため、腫れる可能性があります。細菌感染すると施術のやり直しになりますが、当院では洗浄・滅菌を徹底して感染リスクを抑えます。また、インプラント周囲炎にならないために、通常の歯と同じように丁寧なブラッシングや定期メンテナンスが重要となります。












