矯正の症例写真 ORTHODONT
全顎矯正治療
| カテゴリー | 【矯正治療】 | ||||||||||||||||||||||||||||||||
|---|---|---|---|---|---|---|---|---|---|---|---|---|---|---|---|---|---|---|---|---|---|---|---|---|---|---|---|---|---|---|---|---|---|
| 性別/年齢 | 女性 / 14歳 | ||||||||||||||||||||||||||||||||
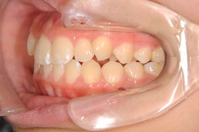
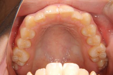
| 主訴 | 乱ぐい歯の矯正治療を希望。 | ||||||||||||||||||||||||||||||||
| 治療方針 | 前歯のがたつきを主訴で来院されましたが、奥歯(第二大臼歯)がはさみのようにすれ違って、干渉がおきてしまっていました。また口元も突出しているので、上下左右第一小臼歯の抜歯となりました。途中、上下に輪ゴムを使用して頂き、緊密な咬合になるようにしました。今後、咬合の安定を維持しながら親知らずを経過観察していく予定です。 | ||||||||||||||||||||||||||||||||
| 治療内容 | 唇側矯正(ホワイト)、左右上顎第一小臼歯抜歯 | ||||||||||||||||||||||||||||||||
| 治療部位 |
|
||||||||||||||||||||||||||||||||
| 総治療費 | 757,050円 | ||||||||||||||||||||||||||||||||
| 治療期間 | 1年8ヶ月 |
副作用・リスク
矯正治療の副作用・リスクについて
わずかですが歯の動く痛みを感じる場合があります。矯正装置周辺が虫歯や歯肉炎にならないよう、丁寧な歯磨きが必要です。












