インプラントの症例写真 IMPLANT
インプラント治療+オーバーデンチャー
| カテゴリー | 【インプラント治療】 | ||||||||||||||||||||||||||||||||
|---|---|---|---|---|---|---|---|---|---|---|---|---|---|---|---|---|---|---|---|---|---|---|---|---|---|---|---|---|---|---|---|---|---|
| 性別/年齢 | 女性 / 85歳 | ||||||||||||||||||||||||||||||||
| 主訴 | 義歯の調子が悪い。 | ||||||||||||||||||||||||||||||||
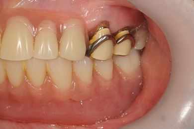
| 治療方針 | 下顎に2本インプラントを埋入し、アタッチメントをつけて、オーバーデンチャーを装着し、はずれにくく、安定した義歯を装着する。 | ||||||||||||||||||||||||||||||||
| 治療内容 | インプラント2本(テンポラリーインプラント)、アタッチメント、コバルトクロム床オーバーデンチャー | ||||||||||||||||||||||||||||||||
| 治療部位 |
|
||||||||||||||||||||||||||||||||
| 総治療費 | 1,540,350円 | ||||||||||||||||||||||||||||||||
| 治療期間 | 5ヶ月 |
副作用・リスク
インプラント治療の副作用・リスクについて
インプラント埋め込み施術は外科治療のため、腫れる可能性があります。細菌感染すると施術のやり直しになりますが、当院では洗浄・滅菌を徹底して感染リスクを抑えます。また、インプラント周囲炎にならないために、通常の歯と同じように丁寧なブラッシングや定期メンテナンスが重要となります。












