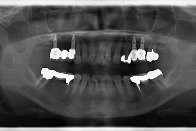
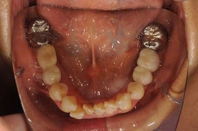
インプラントの症例写真 IMPLANT
骨再生インプラント治療
| カテゴリー | 【インプラント治療】 | ||||||||||||||||||||||||||||||||
|---|---|---|---|---|---|---|---|---|---|---|---|---|---|---|---|---|---|---|---|---|---|---|---|---|---|---|---|---|---|---|---|---|---|
| 性別/年齢 | 女性 / 51歳 | ||||||||||||||||||||||||||||||||
| 主訴 | 他の歯科医院で入れ歯を入れたが、滑舌や味などで不自由を感じている。インプラントは難しいと言われたが、可能かどうかみていただきたい。 | ||||||||||||||||||||||||||||||||
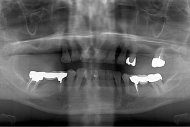
| 治療方針 | サイナスリフトにより上顎洞を拳上し、インプラント治療を可能にする。 | ||||||||||||||||||||||||||||||||
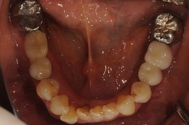
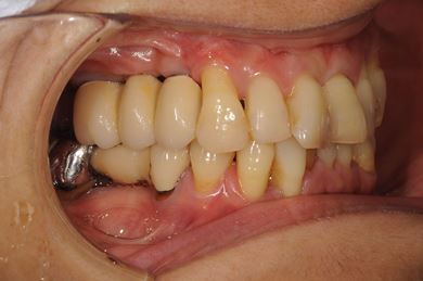
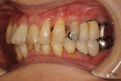
| 治療内容 | インプラント3本(サイナスリフト)、ハイブリッドセラミッククラウン5本 | ||||||||||||||||||||||||||||||||
| 治療部位 |
|
||||||||||||||||||||||||||||||||
| 総治療費 | 2,111,813円 | ||||||||||||||||||||||||||||||||
| 治療期間 | 1年3ヶ月 |
副作用・リスク
インプラント治療の副作用・リスクについて
インプラント埋め込み施術は外科治療のため、腫れる可能性があります。細菌感染すると施術のやり直しになりますが、当院では洗浄・滅菌を徹底して感染リスクを抑えます。また、インプラント周囲炎にならないために、通常の歯と同じように丁寧なブラッシングや定期メンテナンスが重要となります。












