インプラントの症例写真 IMPLANT
骨再生スピードインプラント治療
| カテゴリー | 【インプラント治療】 | ||||||||||||||||||||||||||||||||
|---|---|---|---|---|---|---|---|---|---|---|---|---|---|---|---|---|---|---|---|---|---|---|---|---|---|---|---|---|---|---|---|---|---|
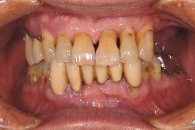
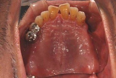
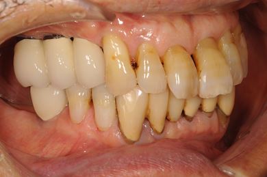
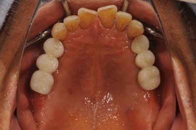
| 性別/年齢 | 男性 / 67歳 | ||||||||||||||||||||||||||||||||
| 主訴 | 欠損部分のインプラント・差し歯治療を希望。 | ||||||||||||||||||||||||||||||||
| 治療方針 | サイナスリフト、ソケットリフトによりインプラント治療を可能にする。抜歯と同時にインプラントを埋入し、治療期間を短縮する。 | ||||||||||||||||||||||||||||||||
| 治療内容 | インプラント8本(サイナスリフト、ソケットリフト、GBR)、メタルボンドセラミック8本 | ||||||||||||||||||||||||||||||||
| 治療部位 |
|
||||||||||||||||||||||||||||||||
| 総治療費 | 3,711,540円 | ||||||||||||||||||||||||||||||||
| 治療期間 | 1年5ヶ月 |
副作用・リスク
インプラント治療の副作用・リスクについて
インプラント埋め込み施術は外科治療のため、腫れる可能性があります。細菌感染すると施術のやり直しになりますが、当院では洗浄・滅菌を徹底して感染リスクを抑えます。また、インプラント周囲炎にならないために、通常の歯と同じように丁寧なブラッシングや定期メンテナンスが重要となります。












