KCC
吉祥寺セントラルクリニック
0120-203-640
KCC
三鷹公園通り歯科・小児歯科
0120-970-967

インプラントの症例写真 IMPLANT

骨再生インプラント治療

カテゴリー 【インプラント治療】
性別/年齢 男性 / 53歳
主訴 インプラント治療相談。
治療方針 骨再生法にて、インプラント治療を可能にする。
治療内容 インプラント2本(GBR)、ハイブリッドセラミッククラウン2本
治療部位
5 6
総治療費 665,963円
治療期間 9ヶ月

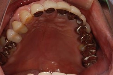
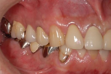
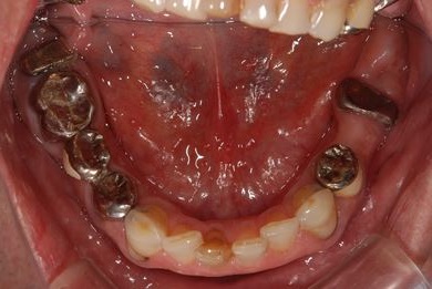
治療前

  • 治療前
  • 治療前
  • 治療前
  • 治療前
  • 治療前
  • 治療前

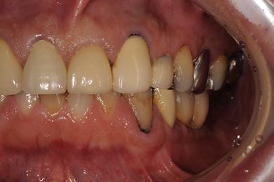
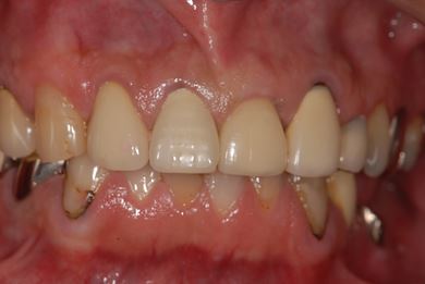
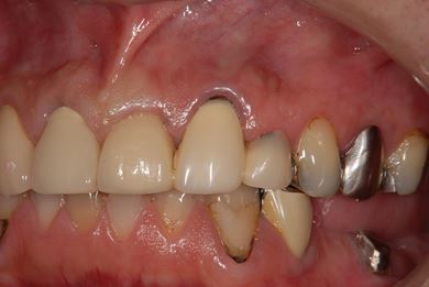
治療後

  • 治療後
  • 治療後
  • 治療後
  • 治療後
  • 治療後
  • 治療後

副作用・リスク

インプラント治療の副作用・リスクについて

インプラント埋め込み施術は外科治療のため、腫れる可能性があります。細菌感染すると施術のやり直しになりますが、当院では洗浄・滅菌を徹底して感染リスクを抑えます。また、インプラント周囲炎にならないために、通常の歯と同じように丁寧なブラッシングや定期メンテナンスが重要となります。