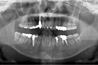
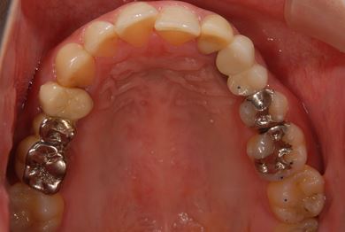
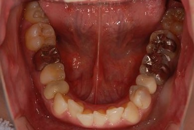
インプラントの症例写真 IMPLANT
抜歯即日スピードインプラント治療
| カテゴリー | 【インプラント治療】 | ||||||||||||||||||||||||||||||||
|---|---|---|---|---|---|---|---|---|---|---|---|---|---|---|---|---|---|---|---|---|---|---|---|---|---|---|---|---|---|---|---|---|---|
| 性別/年齢 | 女性 / 29歳 | ||||||||||||||||||||||||||||||||
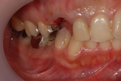
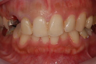
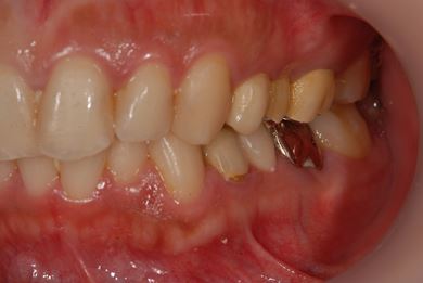
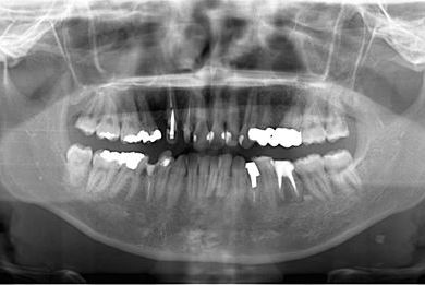
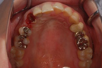
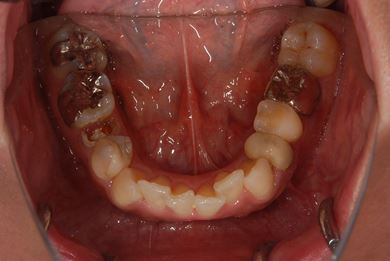
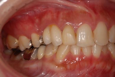
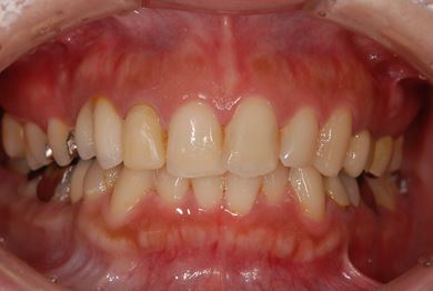
| 主訴 | 以前治療中のままだった部位の歯の根に膿が溜まって、痛みと腫れが出た。応急処置で切開して膿は取ってもらったが、根の治療がまだなので、お願いしたい。 | ||||||||||||||||||||||||||||||||
| 治療方針 | 抜歯と同時にインプラント埋入を行い、治療期間を短縮する。 | ||||||||||||||||||||||||||||||||
| 治療内容 | インプラント2本(抜歯即日スピードインプラント)、ハイブリッドセラミッククラウン3本 | ||||||||||||||||||||||||||||||||
| 治療部位 |
|
||||||||||||||||||||||||||||||||
| 総治療費 | 588,000円 | ||||||||||||||||||||||||||||||||
| 治療期間 | 8ヶ月 |
副作用・リスク
インプラント治療の副作用・リスクについて
インプラント埋め込み施術は外科治療のため、腫れる可能性があります。細菌感染すると施術のやり直しになりますが、当院では洗浄・滅菌を徹底して感染リスクを抑えます。また、インプラント周囲炎にならないために、通常の歯と同じように丁寧なブラッシングや定期メンテナンスが重要となります。












