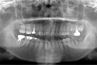
インプラントの症例写真 IMPLANT
骨再生スピードインプラント治療+歯肉歯槽骨整形手術
| カテゴリー | 【インプラント治療】 | ||||||||||||||||||||||||||||||||
|---|---|---|---|---|---|---|---|---|---|---|---|---|---|---|---|---|---|---|---|---|---|---|---|---|---|---|---|---|---|---|---|---|---|
| 性別/年齢 | 女性 / 32歳 | ||||||||||||||||||||||||||||||||
| 主訴 | 大きな虫歯を、なるべく早く治してほしい。歯周病の部分が悪化しているため、抜歯してなるべく早くインプラントを入れて欲しい。 | ||||||||||||||||||||||||||||||||
| 治療方針 | 左上下奥の保存不能の歯を抜歯し、インプラント治療にて機能的・審美的回復を行う。左上部分はソケットリフトにて上顎洞を拳上し、インプラント治療を可能にする。 | ||||||||||||||||||||||||||||||||
| 治療内容 | インプラント3本(抜歯即日スピードインプラント、ソケットリフト)、メタルボンドセラミッククラウン4本(メタルボンド用土台1本)、ハイブリッドセラミッククラウン1本 | ||||||||||||||||||||||||||||||||
| 治療部位 |
|
||||||||||||||||||||||||||||||||
| 総治療費 | 1,484,805円 | ||||||||||||||||||||||||||||||||
| 治療期間 | 1年5ヶ月 |
副作用・リスク
インプラント治療の副作用・リスクについて
インプラント埋め込み施術は外科治療のため、腫れる可能性があります。細菌感染すると施術のやり直しになりますが、当院では洗浄・滅菌を徹底して感染リスクを抑えます。また、インプラント周囲炎にならないために、通常の歯と同じように丁寧なブラッシングや定期メンテナンスが重要となります。












