インプラントの症例写真 IMPLANT
| カテゴリー | 【インプラント治療】 | ||||||||||||||||||||||||||||||||
|---|---|---|---|---|---|---|---|---|---|---|---|---|---|---|---|---|---|---|---|---|---|---|---|---|---|---|---|---|---|---|---|---|---|
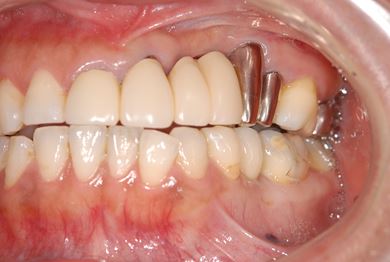
| 性別/年齢 | 女性 / 45歳 | ||||||||||||||||||||||||||||||||
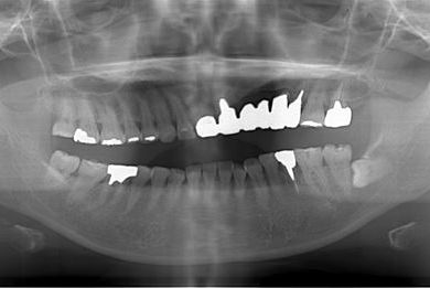
| 主訴 | 以前治療した歯の歯ぐきから出膿。他の歯科でインプラントかブリッジしか方法がないが、骨の状態からインプラント治療は無理かもしれないと言われたことに不安を感じ、セカンドオピニオンを求めて来院。 | ||||||||||||||||||||||||||||||||
| 治療方針 | 保存不能の歯を抜歯し、インプラント治療にて機能的・審美的回復を行う。 | ||||||||||||||||||||||||||||||||
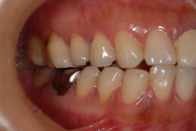
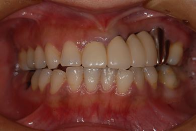
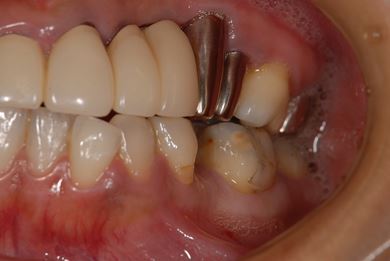
| 治療内容 | インプラント1本、ハイブリッドセラミッククラウン1本 | ||||||||||||||||||||||||||||||||
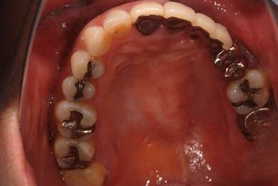
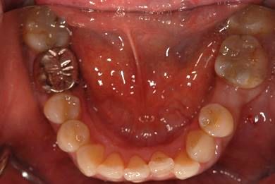
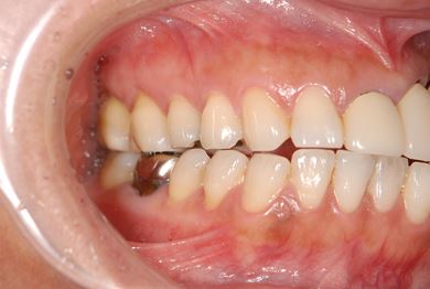
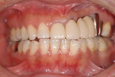
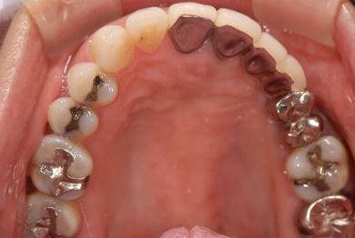
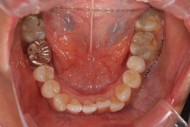
| 治療部位 |
|
||||||||||||||||||||||||||||||||
| 総治療費 | 310,905円 | ||||||||||||||||||||||||||||||||
| 治療期間 | 5ヶ月 |
副作用・リスク
インプラント治療の副作用・リスクについて
インプラント埋め込み施術は外科治療のため、腫れる可能性があります。細菌感染すると施術のやり直しになりますが、当院では洗浄・滅菌を徹底して感染リスクを抑えます。また、インプラント周囲炎にならないために、通常の歯と同じように丁寧なブラッシングや定期メンテナンスが重要となります。












