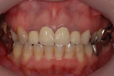
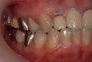
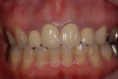
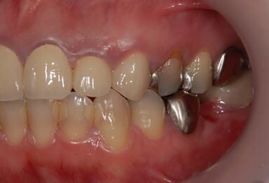
インプラントの症例写真 IMPLANT
インプラント治療
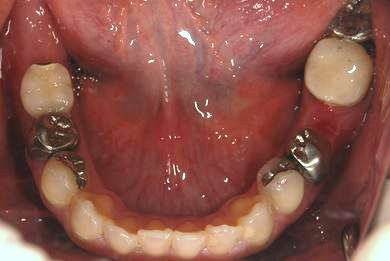
| カテゴリー | 【インプラント治療】 | ||||||||||||||||||||||||||||||||
|---|---|---|---|---|---|---|---|---|---|---|---|---|---|---|---|---|---|---|---|---|---|---|---|---|---|---|---|---|---|---|---|---|---|
| 性別/年齢 | 女性 / 34歳 | ||||||||||||||||||||||||||||||||
| 主訴 | 左上奥の歯茎の腫れと、口臭などが気になっています。 | ||||||||||||||||||||||||||||||||
| 治療方針 | 右下奥欠損部分をインプラント治療にて機能的・審美的回復を行う。 | ||||||||||||||||||||||||||||||||
| 治療内容 | インプラント1本、メタルボンドセラミッククラウン1本 | ||||||||||||||||||||||||||||||||
| 治療部位 |
|
||||||||||||||||||||||||||||||||
| 総治療費 | 252,000円 | ||||||||||||||||||||||||||||||||
| 治療期間 | 4ヶ月 |
副作用・リスク
インプラント治療の副作用・リスクについて
インプラント埋め込み施術は外科治療のため、腫れる可能性があります。細菌感染すると施術のやり直しになりますが、当院では洗浄・滅菌を徹底して感染リスクを抑えます。また、インプラント周囲炎にならないために、通常の歯と同じように丁寧なブラッシングや定期メンテナンスが重要となります。












