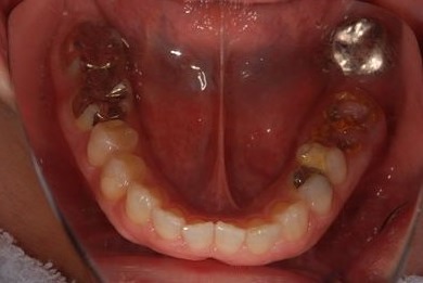
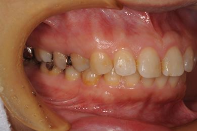
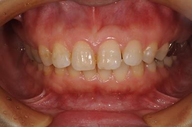
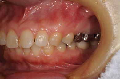
インプラントの症例写真 IMPLANT
抜歯即日スピードインプラント治療+セラミック治療+歯肉歯槽骨整形術
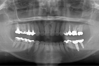
| カテゴリー | 【インプラント治療】 | ||||||||||||||||||||||||||||||||
|---|---|---|---|---|---|---|---|---|---|---|---|---|---|---|---|---|---|---|---|---|---|---|---|---|---|---|---|---|---|---|---|---|---|
| 性別/年齢 | 女性 / 39歳 | ||||||||||||||||||||||||||||||||
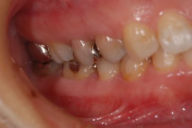
| 主訴 | 銀歯が取れたのでみて欲しい。 | ||||||||||||||||||||||||||||||||
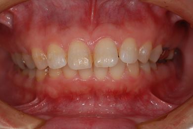
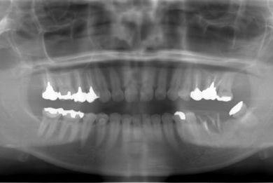
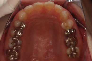
| 治療方針 | 左下欠損部と保存不能の歯を抜歯し、インプラント治療にて機能的・審美的回復を行う。 | ||||||||||||||||||||||||||||||||
| 治療内容 | インプラント2本(抜歯即日スピードインプラント)、ハイブリッドセラミッククラウン2本、歯肉歯槽骨整形術 | ||||||||||||||||||||||||||||||||
| 治療部位 |
|
||||||||||||||||||||||||||||||||
| 総治療費 | 488,250円 | ||||||||||||||||||||||||||||||||
| 治療期間 | 1年4ヶ月 |
副作用・リスク
インプラント治療の副作用・リスクについて
インプラント埋め込み施術は外科治療のため、腫れる可能性があります。細菌感染すると施術のやり直しになりますが、当院では洗浄・滅菌を徹底して感染リスクを抑えます。また、インプラント周囲炎にならないために、通常の歯と同じように丁寧なブラッシングや定期メンテナンスが重要となります。












