インプラントの症例写真 IMPLANT
インプラント治療
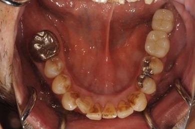
| カテゴリー | 【インプラント治療】 | ||||||||||||||||||||||||||||||||
|---|---|---|---|---|---|---|---|---|---|---|---|---|---|---|---|---|---|---|---|---|---|---|---|---|---|---|---|---|---|---|---|---|---|
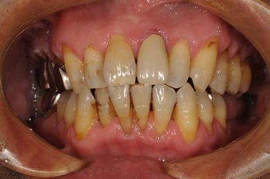
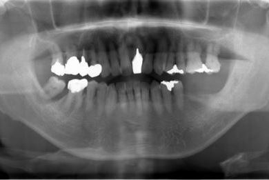
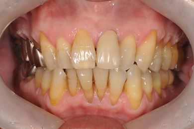
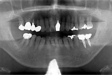
| 性別/年齢 | 男性 / 60歳 | ||||||||||||||||||||||||||||||||
| 主訴 | 右下奥歯の治療相談。(痛み・ぐらつき・物がかめない) | ||||||||||||||||||||||||||||||||
| 治療方針 | 左下奥の欠損部分をインプラント治療にて、機能的・審美的に回復を行う。 | ||||||||||||||||||||||||||||||||
| 治療内容 | インプラント2本、メタルボンドセラミッククラウン2本 | ||||||||||||||||||||||||||||||||
| 治療部位 |
|
||||||||||||||||||||||||||||||||
| 総治療費 | 680,610円 | ||||||||||||||||||||||||||||||||
| 治療期間 | 7ヶ月 |
副作用・リスク
インプラント治療の副作用・リスクについて
インプラント埋め込み施術は外科治療のため、腫れる可能性があります。細菌感染すると施術のやり直しになりますが、当院では洗浄・滅菌を徹底して感染リスクを抑えます。また、インプラント周囲炎にならないために、通常の歯と同じように丁寧なブラッシングや定期メンテナンスが重要となります。












